Skip to content

Menu

← Back

Electromagnetic Navigation Bronchoscopy: Initial Experiences

Dr. Linda Suet-Lai CHENG, Dr. Chung-Ming CHU
Department of Medicine & Geriatrics, United Christian Hospital

Can we meet your family?

Dr Yung Ching Ching and Dr Wong Wei Yin
Department of Medicine, Haven of Hope Hospital

~Patient 1

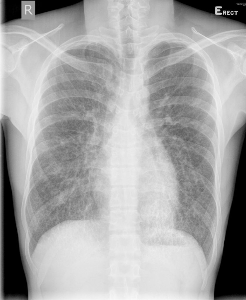
~A 48-year-old Chinese man was a lifelong non-smoker and worked as an electrician. He had suffered from recurrent bilateral pneumothorax received multiple bilateral pleurodesis from 1990 to 1997. He also had recurrent skin lesions over right ear and had excision done in 1996, 2000 and 2011. Pathology report in 2011 showed epitheloid hemangioma. He had left retinal detachment in 2009 with operation done. His brother suffered from liver failure in 2008 and he volunteered to be a live liver donor. The operation was uneventful. In 2010, he had a CT abdomen done for epigastric pain and incidentally revealed large lung cysts and bulla at bilateral lung bases. He was subsequently referred to the chest clinic. On Chest X-ray monitoring in the chest clinic, a new shadow over right lower zone was noted in

Figure 1 Chest X-ray on admission

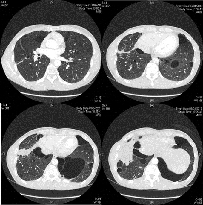
February 2013 (Figure 1) and he was referred to our unit for further investigation. The patient had mild right lower chest pain and had no other chest or constitutional symptoms. Physical examination was unremarkable. Blood tests included complete blood count, liver and renal function tests were normal. A CT thorax with contrast was performed in April 2013.(Figure 2)

Figure 2 HRCT showing multiple bullae

There was a pleural collection with multiple foci of high attenuation at right lung base and was compatible with previous talc pleurodesis. Large bullae were present bilaterally. Diagnostic pleural tapping was performed and the pleural fluid was negative for AFB smear, culture and cytology.
On questioning of patient’s family history, patient’s father, one elder sister and one elder brother also had history of pneumothorax. (Figure 3)

Figure 3 Patient’s family tree

The differential diagnosis of familial spontaneous pneumothorax includes lymphanioleiomyomatosis (LAM), Marfan syndrome, homocystinuria, Ehler-Danols syndrome and alpha-1-antitrypsin deficiency.(1) Most of these conditions can be diagnosed by the characteristics clinical features and the diagnosis of alpha-1-antitrypsin is suggested by low blood alpha-1-antitrypsin level. Both Birt-Hogg-Dube syndrome (BHDS) and LAM are associated with cystic lung diseases, renal and cutaneous lesions and the differentiation between these two diseases may be difficult. LAM usually affected women with childbearing age and the predominantly cutaneous lesions are angiomyoliomas and angiofibromas.(1) The appearance of the pulmonary cysts in BHDS and LAM is also difference. The pulmonary cysts in LAM are more diffuse, smaller and uniform in shape.(2) Our patient had no typical clinical features of Marfan syndrome, homocystinuria and Ehler-Danols syndrome and his blood test for alpha-1-antitrypsin was 95 mg/dL (Reference range 108-183). Our patient was a male and the pulmonary cysts of our patient were larger and more irregular than those seen in patients with LAM. As BHDS was suspected in our patient, patient’s blood was sent for genetic study with the patient consent. The genetic analysis showed that there was an insertional mutation at the folliculin gene (HeterozygousNM_144997.5:c.1579_1580insA). The diagnosis of Birt- Hogg- Dube syndrome was confirmed. Genetic screening was advised for patient’s parents and siblings. However, according to patient, they did not want to have genetic screening. CT of kidney of our patient did not show any lesion. Patient had recurrence of hemangioma over post-auricular region on subsequent follow up.

Discussion

In 1977, Birt, Hogg, and Dube described some members from a family had fibrofolliculomas inherited as autosomal dominant pattern.(3) German dermatologists Hornstein and Knickenberg had described similar skin tumors 2 years previously. Subsequently, more families with multiple fibrofolliculomas were reported and this genodermatosis was later named as Birt-Hogg-Dube syndrome (BHDS).(4) Birt-Hogg-Dube syndrome was currently defined as an autosomal dominant disease and characterized by cutaneous lesions, pulmonary cysts and renal cancer.(4) The gene responsible for BHDS was first identified in 2001 and was located on the short arm of chromosome 17(17p12q11.2).(5) This gene encoded the tumor suppressor protein folliculin (FLCN). However, the exact function of the FLCN gene and the mechanism of its tumor suppressor actions is still uncertain. The involvement of mammalian target of rapamycin (mTOR) pathway was suggested.(6) There were 142 unique DNA mutations of the FLCN gene identified.(1) The common mutation sites between Japanese and Western patients with BHDS were difference and it may account for the racial difference in clinical manifestation.(1,6)

Clinical manifestations

The pulmonary manifestations of BHDS are the development of pulmonary cysts and pneumothorax. Cystic lung lesions developed in early to mid adulthood.(4,7) More than 80% of patients with BHDS had multiple pulmonary cysts identified by CT scan.(6,7) The pulmonary cysts were usually thin walled with various sizes and irregularly-shaped and they were predominantly located at the lower medial and subpleural regions.(1) Microscopically, the pulmonary cyst was lined by alveolar cells immunostaining for epithelial markers and surfactant proteins.(6) Zbar and colleagues found a 50 times increase of pneumothorax risk in patients with BHDS.(1) In Toro series, 48 of 198 (24%) patients with BHDS had history of pneumothorax and 75% of them had recurrent pneumothorax. Majority of the first pneumothorax occurred before age 50. The presence of lung cysts, total lung cyst volume, largest cyst diameter and volume were significantly associated with pneumothorax.(7) The pulmonary function tests were typically preserved or only mildly abnormal in patients with BHDS.(1) BHDS lung cysts were not associated with mortality or chronic debilitation.(7)
Birt and colleagues described fibrofolliculomas, trichodiscomas and acrochordons as a triad of skin lesions of BHDS.(3) Currently, fibrofolliculomas and trichodiscomas were considered as part of morphological spectrum. Acrochordons were common in general population and were not specific for BHDS. The diagnosis of these skin lesions depended on both clinical presentation and histological examination. Typically, the skin lesions appeared after the age 20 and presented as multiple, whitish, dome-shaped papules over the face.(4,8) Other skins lesions reported in patients with BHDS included angiofibroma, melanoma and lipoma.(9,10,11)

The most serious complication from BHDS was increased risk of renal cancer. The prevalence of renal tumors ranged from 14.4 to 34%.(9,12) In Pavlovich series, 30 patients of 19 affected families diagnosed of renal cancers, the mean age of diagnosis was 50 years.(13) Diagnosed of renal cancer at early twenties had also been reported.(8,14) Most of the renal tumors are multifocal and bilateral.(9,13) The predominant types of renal cancer in BHDS are hybrid oncocytic tumor and chromophobe renal cell carcinoma.(12,13) Toro and colleagues found that patients with BHDS and family history of renal cancer had a statistically significant increased risk of developing renal cancers compared to patients without positive family history.(9) However, there was no genotype-phenotype correlation found so far.(9)

Diagnosis and management

The diagnostic criteria for BHDS are suggested by the European BHD Consortium.(8) Diagnosed patients with BHDS required fulfillment of one major or two minor criteria. The major criteria include at least five adult onset fibrofolliculomas or trichodiscomas and pathogenic FLCN germline mutation. The minor criteria include multiple lung cysts, renal cancer and a first degree relative with BHD.(8) Patients with BHDS may present with isolated pulmonary lung cysts or spontaneous pneumothorax without skin or renal manifestation. High clinical suspicion is important and family history is helpful to make the diagnosis as demonstrated in our case.
After diagnosis of BHDS is made, genetic counseling and family screening is important. Some authors suggest chest CT screening for all patients diagnosed with BHDS to characterize the pulmonary involvement and to educate patients for future pneumothorax risk.(1) Patients with BHDS should warn about the risk of diving and evaluate by a pulmonologist prior to air travel especially for those with history of recurrent pneumothorax and extensive lung cysts.(1,8) Smoking is an important risk factor for both spontaneous pneumothorax and renal cancer. Patients should strongly advise against smoking. Annual renal surveillance by USG, CT or MRI is suggested. MRI has its advantage of high sensitivity and no radiation; however, it might not be readily available.(8) No specific treatment is required for the cutaneous lesions as they are benign in nature. Dermatologist referral is advised if the lesions are disfiguring.(1)
Our case is the second reported local case of BHDS. The first case reported was a 57 year old lady presented with history of pneumothorax, bilateral lung cysts and fibrofolliculoma.(15) Genetic analysis of this lady and her two daughters found the same mutation in folliculin gene. Our patient has no typical cutaneous lesions of BHDS. Instead, he has recurrent hemangioma in post-auricular area which is not reported in patients with BHDS. Some reports from Japanese series also noted a low incidence of typical cutaneous lesions in their patients with BHDS. Monitoring of patients with BHDS for the development of skin disorders is required.(11)

Patient 2

A 25 year old Chinese man, nonsmoker and nondrinker, presented to the private urologist for bloody semen. Chest X-ray (Figure 4) was performed and showed bilateral nodular shadows. He was referred to chest clinic then to our unit for further management.

Figure 4 Chest X-ray on admission

Our patient had no cough, dyspnea or hemoptysis and he had no constitutional symptoms. Physical examination was unremarkable. Blood tests included complete blood count, liver and renal function test, calcium and phosphate were normal. His sputum and early morning urine for AFB smears were negative and sputum for cytology was also negative. Several investigations were done in private and they included KUB which did not reveal any renal stones, ultrasonography of the prostate and bladder showed multiple calcifications along the ejaculatory ducts in the seminal vesicles. HRCT was performed (Figure 5) and it revealed nonspecific reticulonodular shadow in both lungs with subpleural predominance. Pulmonary function test was performed and showed normal spirometry and lung volume with mild diffusion defect. The FEV1 was 3.31L(86% predicted), FVC was 3.73L(83% predicted) with FEV1/FVC ratio of 0.89, TLC was 84% predicted and DLCO was 68% predicted.

Figure 5 HRCT

Bronchoscopy was done and no endobronchial lesion was found. Bronchial aspirate for AFB smear, MTB PCR and cytology were all negative. Transbronchial biopsy over right lower lobe was taken. Examination of the lung specimen found that there were large numbers of intra-alveolar deposits of laminated calcified bodies with interstitial fibrosis.(Figure 6) The finding was consistent for pulmonary alveolar microlithiasis.

Figure 6 intra-alveolar deposits of laminated calcified bodies with interstitial fibrosis

Bone scan was done and it showed increased uptake at both lungs, most intense over bilateral lower lobes which corresponds to the area of nodular interlobular septal thickening at both lower lobes. Patient’s blood was sent for genetic study with patient consent. A single gene deletion was detected over the SLC34A2 gene [1402_1404delACC] with uncertain significant. Patient’s parents and his sister were not affected.

Discussion

This is a first local case report of pulmonary alveolar microlithiasis (PAM). PAM is a rare disease which is characterized by intra-alveolar deposition of spherical calculi.(16) The histopathological features of this disease was first described by Harbitz in 1918.(17) It was later named by Puhr as PAM in 1933.(18) In 1957, Soman reported a high incidence of familiar occurrence and he suggested a hereditary factor of this disease.(19) In 2006, Court and Hagiwara independently identified the gene responsible for PAM.(20) Study of cases with genetic analysis supported PAM was a hereditary disease and likely transmitted as an autosomal recessive pattern.(16)

Epidemiology and pathogenesis

PAM is identified worldwide and it is predominates in a few countries particularly Turkey, Italy and Japan.(21-23) There is more than 10 Chinese cases published in the literature and the first reported Chinese case of PAM was in 1963 by Yang who reported two cases in a family.(24) Familial or sporadic cases are reported and the familial cases account for 30 to 50%.(27) There are high consanguineous marriages in patient’s families.(23) Mutations of SLC34A2 gene which encodes a type IIb sodium-dependent phosphate co-transporter (NaPi-IIb) is considered the cause of the disease.(20) SLC34A2 gene is located on the short arm of chromosome 4 (4p15) and is mostly expressed in alveolar type II cells.(20) Alveolar type II cells are responsible for surfactant production and the phospholipids are the essential constituents of the surfactant. The old surfactant is taken up by the type II cells for recycling and degradation. NaPi-llb of the type II cells transports phosphate which released from the degraded phospholipids into the cells. Mutation of the SLC34A2 gene leads to mal-function of this co-transport and the phosphate cannot be cleared from alveolar space and causing microlith formation.(16,20) There are reports of PAM with no disease- causing mutations in SLC34A2 gene found.(24,25) The authors suggested PAM might be a polygenic disorder.(25)

Clinical, radiological and pathological features

The age range of diagnosis is wide and is usually diagnosed at a younger age. The youngest reported case is a premature twins and the eldest case was diagnosed at 80.(23) In a review series of 576 patients worldwide, 35.8% of cases were diagnosed under 20 years of age and 88.2% were under 50.(22) There is no gender predominance.(16) Most patients are diagnosed incidentally.(16) The hallmark of PAM is the paucity of symptoms in contrast to imaging findings.(16) In symptomatic patients, the most common symptoms are dyspnoea, dry cough, chest pain, hemopytsis and asthenia.(22,23) The blood levels for calcium, phosphate and parathyroid are usually normal.(16,21) Elevated serum surfactant protein (SP)-A and SP-D has been seen in PAM with a tendency of increasing levels as the disease progress.(26)

The chest radiographic is characterized by diffuse scattered bilateral micronodular calcifications mainly over the middle and lower zones. This ‘sandstorm appearance’ is pathognomonic for PAM.(27,28) Common chest CT findings includes micronodules, ground glass opacities, interlobular septal thickening and subpleural calcification.(27,28) The ground glass opacities probably due to small calculi in the air space. Subpleural multiple small cysts are also common which may appears as a linear hyperlucency described as ‘black pleura’ sign visible on chest radiography.(16) Bone scintigraphy using radioactive material such as technetium-99m-methlene diphosphonate which chemisorb to hydroxyapatite crystals in bone and calcium crystals and should be taken up in the lung in patients with PAM.(16,29)

Although the radiographic appearance is pathognomonic, sometimes bronchoalveolar lavage or a histological examination is required to confirm the diagnosis.(16,27) The typical microscopic finding of the lung biopsy is numerous laminated calcified bodies within the alveolar spaces. The microliths usually range from 50 to 1,000um in diameter and are mainly composted of calcium and phosphorus. Also, variable degrees of fibrosis are shown in lung interstitium.(27,29,30) In advanced cases, microliths are clustered in the interlobular septa, subpleural space and in the bronchovascular bundles.(21) Extrapulmonary manifestations are reported and they include medullary nephrocalcinosis, calcification of lumbar sympathetic chain, mitral and aortic valve calcification and pericardial calcification.(27) There are case reports of PAM with calcifications in the seminal vesicles, and epididymal and periurethral calcifications causing obstructive azospermia.(31,32)

Clinical course and treatment

The differential diagnosis of PAM includes miliary tuberculosis, sarcoidosis, pneumoconiosis and metastatic pulmonary calcification.(28) PAM is a slow and progressive disease.(16) The clinical course is variable. In some patients the disease remains static for years and in others it will progress to pulmonary fibrosis and respiratory failure.(21,27) The long term survival is uncertain as few long term follow up data. In a series of 53 Japanese patients, during a follow up of 10-40 years, 18 out of 53 died of respiratory insufficiency.(21)
Treatment of PAM with systemic corticosteroid and bronchoalveolar lavage is ineffective.(16,27) Studies using disodium etidronate or alendroate showed mixed result.(33,34) The proposed mechanisms are by inhibit the formation of new pulmonary calcium phosphate crystallization and resolve previously formed calcifications1.The lung transplantation remains the only possible treatment for end stage cases. Bilateral lung replacement is preferred because the replacement of only one lung might result in persistent shunting of blood through the native lung. There is no recurrence after transplantation been reported.(35)

References

  1. Gupta N, Seyama K, McCormack FX. Pulmonary manifestations of Birt-Hogg-Dube syndrome. Familial Cancer 2013;12:387-396
  2. Richards JC, Lynch DA, Chung JH. Cystic and nodular lung disease. Clin Chest Med 2015;36:299-312
  3. Birt AR, Hogg GR, Dube WJ. Hereditary multiple fibrofolliculomas with trichodiscomas and acrochordons. Arch Dermatol 1977;113(12):1674-1677
  4. Sasso AAD, Belem LC, Zanetti G, et al. Birt-Hogg-Dube syndrome. State of the art review with emphasis on pulmonary involvement. Respiratory Medicine 2015;109:289-296
  5. Schmidt LS, Warren MB, Nickerson ML. Birt-Hogg-Dube syndrome. A genodermatosis associated with spontaneous pneumothorax and kidney neoplasia, maps to chromosome 17p11.2. Am J Hum Genet 2001;69:876-882
  6. Furuya M, Nakatani Y. Birt-Hogg-Dube syndrome: clinicopathological features of the lung. J Clin Pathol 2013;66:178-186.
  7. Toro JR, Pautler SE, Stewart L, et al. Lung cysts, spontaneous pneumothorax, and genetic associations in 89 families with Birt-Hogg-Dube syndrome. Am J Respir Crit Care Med 2007;175:1044-1053
  8. Menko FH, Steensel MA, Giraud S, et al. Birt-Hogg-Dube syndrome: diagnosis and management. Lancet Oncol 2009;10(12):1199-1206
  9. Toro JR, Wei MH, Glenn GM, et al. BHD mutations, clinical and molecular genetic investigations of Birt-Hogg-Dube syndrome: a new series of 50 families and a review of published reports. J Med Genet 2008;45:321-331
  10. Aivaz O, Berkman S, Middelton L, et al. Comedonal and cystic fibrofolliculomas in Birt-Hogg-Dube syndrome. JAMA Dermatology 2015;151:770-774
  11. Vernooij M, Claessens T, Luijten M, et al. Birt-Hogg-Dube syndrome and the skin. Familial cancer 2013;12:381-385
  12. Zbar B, Alvord WG, Glenn Gladys, et al. Risk of renal and colonic neoplasms and spontaneous pneumothorax in the Birt-Hogg-Dube Syndrome 2002;11:393-400
  13. Pavlovich CP, Walther MM, Eyler RA, et al. Renal tumors in the Birt-Hogg-Dube Syndrome. Am J Surg Pathol 2002;26:1542-1552
  14. Houweling AC, Gijezen LM, Jonker MA, et al. Renal cancer and pneumothorax risk in Birt-Hogg-Dube syndrome; an analysis of 115 FLCN mutation carriers from 35 BHD families. British Journal of Cancer 2011;105:1912-1919
  15. So SY. Spontaneous pneumothorax due to Birt-Hogg-Dube syndrome in a Chinese family. Respirology 2009;14:775-776
  16. Francisco FAF, Silva JL, Hochhegger B, et al. Pulmonary alveolar microlithiasis. State-of-the-art review. Respiratory Medicine 2013;107:1-9
  17. Harbitz F. Extensive calcification of the lungs as a distinct disease. Arch Intern Med 1918;21:139-146
  18. Puhr L. Mikrolithiasis alveolaris pulmonum. Virchows Arch 1933;290:139-146
  19. Sosman MC, Dodd GD, Jones WD et, al. The familial occurrence of pulmonary alveolar microlithiasis. Am J Roentgenol 1957;77:947-1012
  20. Corut A, Senyigit A, Ugur SA, et al. Mutation in SLC34A2 cause pulmonary alveolar microlithiasis and are possibly associated with testicular microlithiasis. Am J Hum Genet. 2006;79:650-656
  21. Tachibana T, Hagiwara K, Johkoh T. Pulmonary alveolar microlithiasis: review and management. Current Opinion in Pulmonary Medicine. 2009;15:486-490
  22. Mariotta S, Ricci A, Papale M, et al. Pulmonary alveolar microlithiasis: report on 576 cases published in the literature. Sarcoidosis Vasc Diffuse Lung Dis 2004;21(3):173-181
  23. Castellana G, Lamorgese V. Pulmonary alveolar microlithiasis. World cases and review of the literature. Respiration 2003;70(5):549-555
  24. Yin XZ, Wang HY, Wu D, et al. SLC34A2 gene mutation of pulmonary alveolar microlithiasis: Report of four cases and review of literatures. Respiratory Medicine 2013;107:217-222
  25. Olauson H, Brandenburg V, Larsson TE. Mutation analysis and serum FGF23 level in a patient with pulmonary alveolar microlithiasis. Endocrine 2010;37:244-248
  26. Takahashi H, Chiba H, Shiratori M. et al. Elevated serum surfactant protein A and D in pulmonary alveolar microlithiasis. Respirology 2006;11:330-333
  27. Jonsson ALM, Simonsen U, Hilberg O, et al. Pulmonary alveolar microlithiasis: two case reports and review of the literature. Eur Respir Rev 2012;21:249-256
  28. Deniz O, Ors F, Tozkoparan E, et al. High resolution computed tomographic features of pulmonary alveolar microlithiasis. European Journal of Radiology 2005;55:452-460
  29. Prakash U. Pulmonary alveolar microlithiasis. Seminar in Respiratory and Critical Care Medicine. 2002;23:103-113
  30. Moran CA, Hochholzer L, Hasleton PS, et al. Pulmonary alveolar microlithiasis. A clinicopathologic and chemical analysis of seven cases. Arch Pathol Lab Med 1997;121:607-611
  31. Kanat F, Teke T, Imecik O. Pulmonary alveolar microlithiasis with epididymal and periurethral calcifications causing obstructive azospermia. Int j tuberc Lung Dis 2004;8(10):1275
  32. Castellana G, Carone D, Castellana M, et al. Microlithiasis of seminal vesicles and severe oligoasthenospermia in pulmonary alveolar microlithiasis: Report of an unusual sporadic case. Int J Fertil Steril 2015:9;137-140
  33. Cakir E, Gedik AH, Ozdemir A, et al. Response to disodium etidronate treatment in three siblings with pulmonary alveolar microlithiasis. Respiration 2015;89:583-586
  34. Azim S, Azim W and Hayat F, et al. Treatment of pulmonary alveolar microlithiasis with alendronate sodium. Biomedica 2004;20:32-35
  35. Shigemura N, Bermudez C, Hattler BG, et al. Lung transplantation for pulmonary alveolar microlithiasis. J Thorac Cardiovasc Surg 2010;139:e50-52
This site is registered on wpml.org as a development site. Switch to a production site key to remove this banner.