Skip to content

Menu

← Back

Dr Henry CY Cheung and Dr Raymond FM Lam

Tuberculosis & Chest Unit, Grantham Hospital

Case 1

Case summary

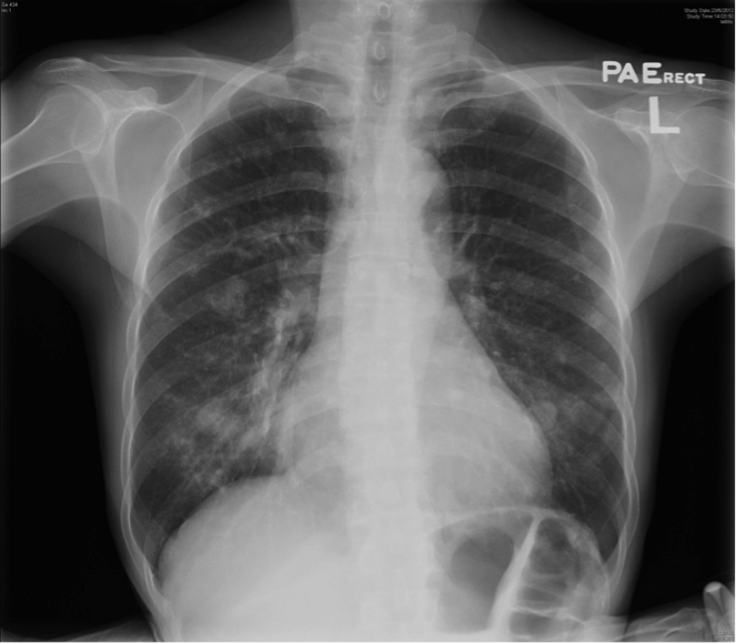
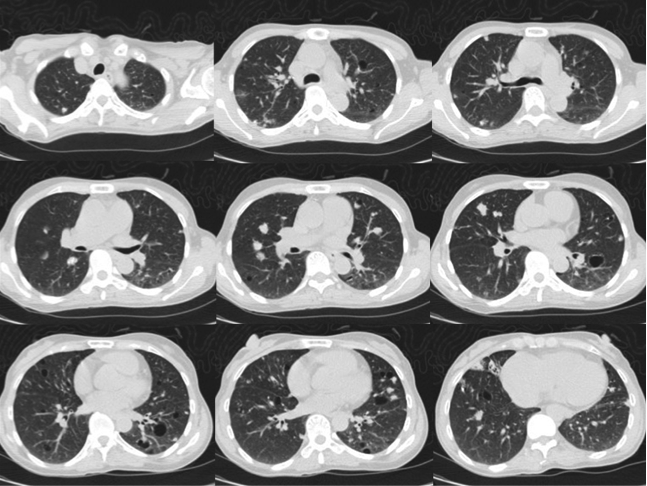
A 56 year old housewife, who was a non-smoker and non-drinker, presented with dry cough for three months. She denied other complaint and she enjoyed a good past health. Her physical examination was unremarkable. Her chest X-ray (CXR) showed patchy infiltrates in bilateral lower zones and several lung nodules bilaterally (Fig 1). Her initial blood tests including complete blood picture, renal & liver function test, erythrocyte sedimentation rate, urate, lactate dehydrogenase and tumor markers (including carcinoembryonic antigen, alpha-fetoprotein, CA 15.3, CA 19.9 and CA 125) were normal. Her sputum was negative for culture, acid fast bacilli and cytology. Her urine routine microscopy was also normal. Contrast computer tomography (CT) thorax showed bilateral lung nodules with size 0.5-2cm, bilateral thin walled lung cysts with size 0.5-2.5cm and sub-segmental collapse of right middle lobe. Some of the nodules had speckles of calcifications inside (Fig 2A, 2B). Fibre-optic bronchoscopy and transbronchial biopsy (FOB+TBBx) were not diagnostic. We had discussed with her about different investigation options included positron emission tomography (PET)-CT and repeating biopsy by FOB+TBBx under fluoroscopy guidance or CT guided fine needle aspiration (FNA). She opted for PET-CT. Her PET-CT was reported as “There were multiple hyper-metabolic nodules (maximum standardized uptake value (SUVmax ) 4.4). They were suspicious of metastases.” There were also multiple hypo-metabolic lucent cystic lesions scattered on both lungs. A complex cystic mass with calcification and some F-18 fluorodeoxyglucose (FDG) avidity was found incidentally at the right adnexal region (Fig 3A, 3B). At that juncture, the working diagnosis was gynaecological malignancy with multiple lung metastases. FOB+TBBx repeated under fluoroscopy guidance showed nodular deposition of extracellular amorphous eosinophilic material in the alveolar spaces. These depositions were salmon pink in Congo red section, and they showed yellow-green birefringence in polarized microscopy. The histological feature was compatible with amyloid. Total abdominal hysterectomy and bilateral salpingo-oophorectomy was done by the gynaecologist and the right adnexal lesion was found to be a mature ovarian teratoma with thyroid tissue. Thus the right ovarian teratoma was just an incidental finding and was not related to the amyloidosis. Further assessment and workup were done to look for possible condition that was known to be associated with amyloidosis such as chronic inflammatory diseases and monoclonal plasma cell dyscrasias. Further enquiry revealed she had chronic dry mouth for over 10 years. Her antinuclear antibody (ANA) titer was raised (1/640) and her anti-Ro (SS-A) titer was positive. Her schirmer test was 0mm over both eyes, indicating severe dry eye. Although the histology of her salivary gland biopsy was reported as within normal limit, she was considered as a case of primary Sjogren’s syndrome by the rheumatologist and symptomatic treatment was provided. Clinically, no other organ was involved by the amyloidosis. Thus the final diagnosis was nodulocystic pulmonary amyloidosis associated with primary Sjogren’s syndrome. An interval CT thorax about two years later showed no significant interval change.

Discussion

Metabolic imaging with PET is being used more and more to differentiate benign from malignant focal lesions and it has been shown to be more efficacious than conventional CT thorax [1]. However, fluorodeoxyglucose (FDG) is not a cancer-specific agent, and false positive findings in benign diseases have been reported in active inflammation or infection, causing false-positive results. Reported causes of false-positive FDG uptake in the thorax include various infections, mycotic aneurysms, lipoid pneumonia, idiopathic interstitial pneumonitis, sarcoidosis, amyloidosis, eosinophilic granuloma, pneumoconiosis, hamartoma, pulmonary infarcts, drug-induced lung toxicity, following talc pleurodesis, radiation pneumonitis and bronchial anthracofibrosis [2, 3, 4]. Of course, the list will never be complete. On the other hand, false-negative FDG uptake of lung malignancy is also possible. They are usually due to tumors with low metabolic activity (e.g. bronchioloalveolar carcinoma and carcinoid tumor) and small size tumors (<1cm). Other possible causes of false negative finding include lung metastasis of tumors with a mucinous component due to its low cellularity, after chemotherapy/irradiation due to the reduced number of metabolically active tumor cells and background hyperglycaemia which prevents FDG uptake because of the competitive reaction [3].

The causes of multiple lung nodules can be classified into malignant and benign causes. Malignant causes are usually due to metastases. Occasionally, they are due to lymphoma, multiple synchronic lung malignancies and Kaposi’s sarcoma. Benign causes are usually due to various infective conditions. Occasionally, they are due to non-infectious inflammatory conditions such as Wegener’s granulomatosis, COP, rheumatoid nodules, lymphomatoid granulomatosis, amyloidosis, and sarcoidosis. Pneumoconioses and arteriovenous malformations are other possible benign causes. Lymphangioleiomyomatosis (LAM) and pulmonary Langerhans cell histiocytosis (LCH) are the most frequently encountered diffuse cystic lung diseases. Rarer causes of diffuse cystic lung diseases include lymphocytic interstitial pneumonia (LIP), amyloidosis, Birt-Hogg-Dubé syndrome and metastases. Their distinguishing clinical and radiological features are summarized in Table 1 [5]. In LCH, LIP, amyloidosis and metastases, there may be a combination of lung nodules and cysts. But the lung nodules in LCH and LIP are tiny centrilobular nodules while those lung nodules in amyloidosis and metastases are usually larger. Thus the radiological differential diagnoses of this patient were amyloidosis and metastases. In retrospect, because this patient was relatively asymptomatic except chronic dry cough and dry mouth, so metastases was less likely.

Amyloidosis is a disorder of protein folding in which normally soluble plasma proteins aggregate in an abnormal fibrillar form causing progressive disruption to tissue structure and organ function. The two most common forms are light-chain (AL) and reactive (AA) amyloidosis. In AL amyloidosis, clonal plasma cells in the bone marrow produce light chains (λ or k) that are amyloidogenic. AA amyloidosis is due to amyloid formed from serum amyloid A, an acute-phase protein produced in response to inflammation. Pulmonary amyloidosis associated with Sjogren’s syndrome is rare. The largest systemic review included 33 reported cases of pulmonary amyloidosis associated with Sjogren’s syndrome. Women accounted for 96.5% of cases. The median age of the patients was 59 years (29-79). Most patients were symptomatic (72.7%) with the most common symptoms were cough or dyspnoea (nine each). Most cases of pulmonary amyloidosis occurred in primary Sjogren’s syndrome (91%). Amyloidosis often occurs with a variable delay from the onset of Sjpgren’s syndrome, but may be recognized at the onset if the diagnosis of Sjogren’s syndrome has not been considered earlier. Multiple nodules were the most common radiological abnormality (78.8%). The nodular pattern was the sole radiological abnormality in 33.3%, and occurred in association with multiple cysts in another 45.5%. The nodules often showed calcification without cavitation. Other rare radiological patterns were solitary nodule, mass and diffuse septal-alveolar pattern. Most patients were observed without administration of any specific therapy. Five patients were treated with corticosteroids, with improvement reported in four. However, data on objective spirometric or radiological improvement have not been reported [6]. Thus amyloidosis must be considered in the differential diagnosis of a patient with Sjogren’s syndrome presenting with diffuse nodules with or without cysts. The use of corticosteroids for treatment of pulmonary amyloidosis secondary to Sjogren’s syndrome is anecdotal and further studies are necessary to assess its efficacy.

Case 2

Case summary

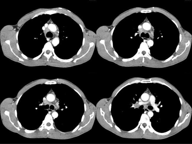
The patient was a chronic smoker (30 pack-years) and chronic drinker. He was a construction site worker and his past health was good. He presented with headache for a few weeks and was found to have signs of superior vena cava obstruction (SVCO). He did not have other complaint and the rest of the physical examination was normal. His CXR was unremarkable (Fig 4). His plain CT brain was also unremarkable. His initial blood tests including complete blood picture, renal & liver function test, erythrocyte sedimentation rate, urate, lactate dehydrogenase and tumor markers (including carcinoembryonic antigen, alpha-fetoprotein and prostate-specific antigen) were normal. His sputum was negative for culture, acid fast bacilli and cytology. His contrast CT thorax showed enlarged lymph nodes (LN) in the right lower paratracheal, pre-carinal & right hilar region and aorto-pulmonary window. The enlarged right lower paratracheal and precarinal LN compressed the brachiocephalic veins and superior vena cava (Fig 5). FOB with transbronchial needle aspiration under endobronchial ultrasound guidance (EBUS-TBNA) were done. The specimen of the right lower paratracheal LN was reported as suboptimal while the specimen from the right hilar LN was negative for any significant pathology. In view of SVCO was a potential medical emergency, we suggested surgical biopsy of the mediastinal LNs to ascertain their nature more definitively in order to guide subsequent management. He was then referred to the thoracic surgery clinic and PET-CT was done as suggested by the thoracic surgeon. The PET-CT was reported as “There were multiple enlarged hyper-metabolic mediastinal LNs (SUVmax 3.3-6.5) and the provisional diagnosis would include lymphoproliferative disease.” A hypermetabolic focus (1.7cm x 1.0cm x 2.3cm, SUVmax = 4.7) in the periphery of the right vastus lateralis muscle was also found incidentally (Fig 6A, 6B). At that juncture, the working diagnosis was SVCO due to possible lung carcinoma with LN metastases or lymphoma. The right thigh lesion could be part of the disease or something unrelated. Right anterior mediastinotomy and biopsy of the right lower paratracheal LN were done. Histology showed a piece of fibrous tissue with marked suppurative granulomatous inflammation. However, infective stains including Ziehl-Neelsen (ZN) stain were negative. His tuberculin skin test was 24mm (that was strongly positive) and his histoplasma antibody was negative. Standard anti-tuberculosis (TB) treatment was started and the signs of SVCO resolved progressively. Later, ultrasound guided FNA of his right thigh lesion showed granulomatous inflammation and one acid fast bacillus. Thus the final diagnosis was TB mediastinal lymphadenopathies causing SVCO, and right thigh TB infection. An interval CT about four months after anti-TB treatment showed the mediastinal LNs were decreased in size.

Discussion

The causes of SVCO can be divided into malignant and non-malignant causes. Lung cancer is the commonest malignant cause, followed by lymphoma. Other malignant causes include thymoma and other thymic neoplasms, primary mediastinal germ cell neoplasms, mesothelioma, and solid tumors with mediastinal LN metastases. In recent decades, thrombosis of the SVC, related to the presence of indwelling intravascular devices is the commonest non-malignant cause. Mediastinal LN enlargement due to various infectious/inflammatory diseases, fibrosing mediastinitis and post-radiation local vascular fibrosis only account for a minority of cases. Table 2 showed the causes of SVCO of 78 patients in a case series [7]. None was due to benign cause of mediastinal lymphadenopathy. The possibilities of SVCO with hyper-metabolic mediastinal lymphadenopathy include LN metastases from lung cancer or other primaries, lymphoma and various infective or inflammatory causes of mediastinal lymphadenopathy. Nowadays, SVCO due to TB mediastinal lymphadenopathy is rare, probably because patients usually present early.

Both cases demonstrated the limitation of PET-CT in differentiating malignant and non-malignant intra-thoracic lesion. In both cases, the PET-CT findings and even the reports were highly suspicious of malignancy but were later confirmed to be benign. The lessons to learn were we should interpret reports in the context of whole clinical picture and obtain histological proof whenever possible.

FIgure 1
Figure 2a
Figure 2b
Figure 3a and 3b
Figure 4
Figure 5
Figure 6a and 6b
DiagnosisClinical featuresRadiological featuresAssociations
LCHSmokerEarly centrilobular nodules, irregular cysts, sparing of costophrenic anglePulmonary hypertension
LAM- Sporadic
– Associated with tuberous sclerosis complex
– Premenopausal women
– Seizures, skin lesions
Diffuse uniform cysts, chylous effusion, no nodulesAngiomyolipoma
LIPSjogren’s syndrome, cardiovascular disease, acquired immunodeficiency syndromeGround-glass opacities, poorly defined centrilobular nodules and thin-walled cysts, basal predominanceLymphoproliferative disorder, lymphoma
AmyloidosisOther organs may also be involvedCysts and larger nodules which may be calcifiedMonoclonal plasma cell dyscrasias, chronic inflammatory diseases
Birt-Hogg-Dubé syndromeSkin lesionsBasilar subpleural lentiform cystsRenal neoplasms, colonic polyposis
MetastasesMost frequently in malignancies of epithelial originMay be cysts and nodules, basal predominance 

Table 1

Causes of SVCONumber%
Malignant    CA lungSmall cell lung cancerNon-small cell lung cancer    Lymphoma    Germ cell tumor    Metastatic prostate carcinoma    Thymic carcinoma    Adenocarcinoma of unknown primary473617196211160.346.221.824.47.72.61.31.31.3
Benign    SVC thrombosis secondary to intravascular devices/catheters    Fibrosing mediastinitis    Hematoma after aortic dissection repair    Peudotumor    Primary SVC thrombosis3122611139.728.27.71.31.31.3

Table 2

Reference:

  1. Kostakoglu L, Agress H, Goldsmith SJ. Clinical role of FDG PET in evalutaion of cancer patients. RadioGraphics 2003;23:315-340
  2. Culverwell ADScarsbrook AFChowdhury FU. False-positive uptake on 2-[¹⁸F]-fluoro-2-deoxy-D-glucose (FDG) positron-emission tomography/computed tomography (PET/CT) in oncological imaging. Clin Radiol 2011;66(4):366-82.
  3. Chang JM, Lee HJ, Goo JM, et al. False positive and false negative FDG-PET scans in various thoracic diseases. Korean J Radiol 2006;7(1):57-69.
  4. Metser UEven-Sapir E. Increased (18)F-fluorodeoxyglucose uptake in benign, nonphysiologic lesions found on whole-body positron emission tomography/computed tomography (PET/CT): accumulated data from four years of experience with PET/CT. Semin Nucl Med 2007;37(3):206-22.
  5. Seaman DM, Meyer CA, Gilman MD, et al. Diffuse cystic lung disease at high-resolution CT. AJR Am J Roentgenol 2011;196(6):1305-11.
  6. Rajagopala S, Singh N, Gupta K, et al. Pulmonary amyloidosis in Sjogren’s syndrome: a case report and systematic review of the literature. Respirology 2010;15(5):860-6
  7. Rice TWRodriguez RMLight RW. The superior vena cava syndrome: clinical characteristics and evolving etiology. Medicine (Baltimore) 2006;85(1):37-42.
This site is registered on wpml.org as a development site. Switch to a production site key to remove this banner.