Skip to content

Menu

← Back

Drs Henry LIU and Ka-Chun WONG; Respiratory Medical Department, Kowloon Hospital

Patient 1

KH was a 75-years old lady, who was referred to Kowloon Hospital in January 2010 because of cough for one month. KH was a nonsmoker and nondrinker. KH had history of “Brain operation” in China in 1972. She had history of fractured distal tibia & fibula in 2005 which was being managed conservatively. She also had fractured Right Hip with Rt. IMHS on 30 March 2010.

Apart from limping right lower limb, physical examination was normal. Blood tests, sputum examination for acid fast bacilli and malignancy were negative. Chest x-ray of KH revealed a left mid-zone mass. Her spirometry test was within normal limit.
Flexible bronchoscopy on 28 Jan 2010 showed her LB6 was obstructed by a cystic mass ( fig.1) . Bronchial aspirate was negative for acid fast bacilli and malignancy. Biopsy was not taken because of the suspicion of carcinoid tumour.
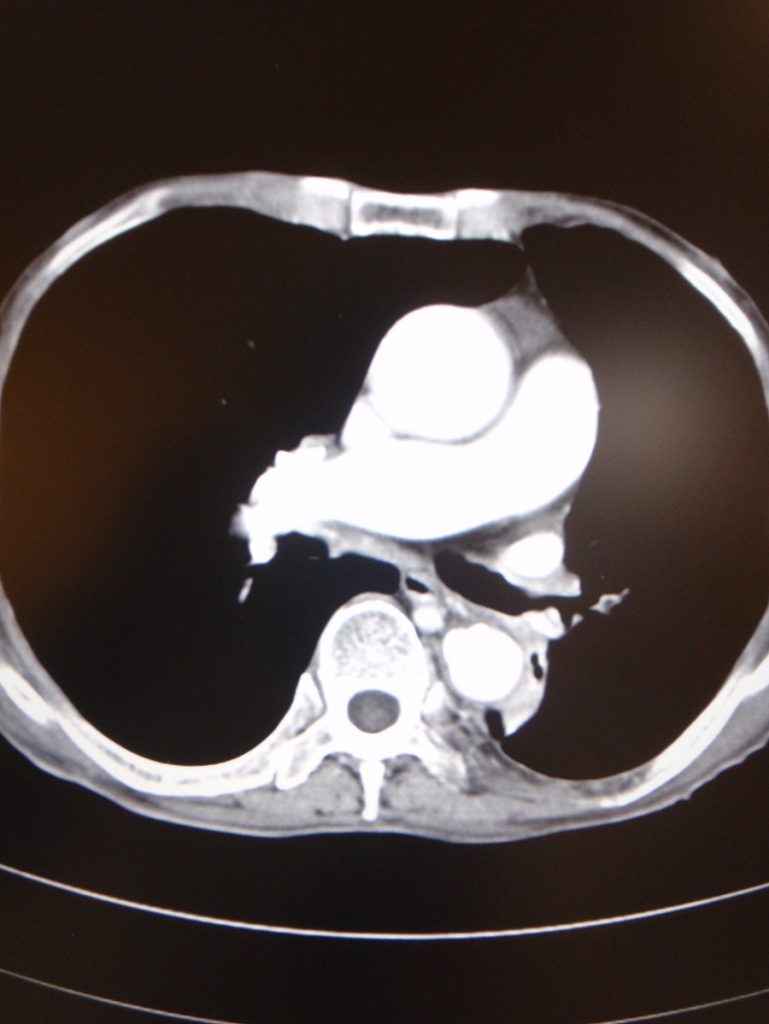
Computerized tomogram of thorax on 6 April 2010 for KH showed an enhancing lesion at left infrahilar region measuring 1.5 x 2.3 x 2.5cm in LLL with erosion into LLL bronchus. (fig. 2)
KH declined surgical excision initially.

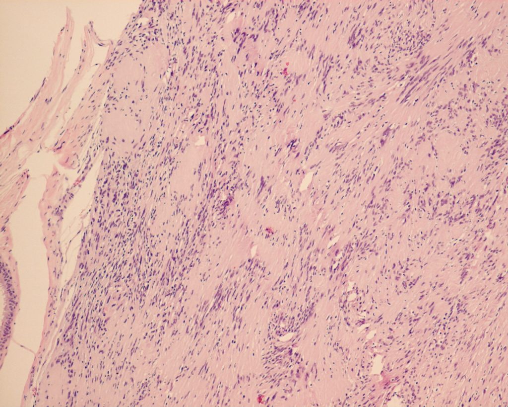
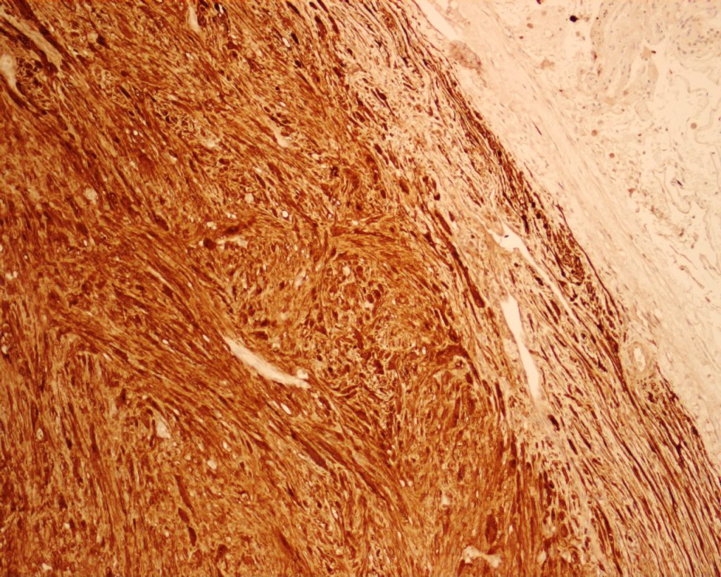
She was seen by cardiothoracic surgeon one year later, flexible bronchoscopy was repeated on 31 May 2011, it showed a roundish cystic mass obstructing LB6. Bronchial biopsy showed endobronchial schwannoma.(fig 3&4). Lt. thoracotomy with left lower lobectomy was done on 25 July 2011. Pathology showed endobronchial schwannoma with clear margins.

Patient 2

NKC was an 82- years old gentleman. In September 2010, he was admitted to Kowloon Hospital because of asthmatic attack.
NKC was an ex-smoker and non-drinker. He was a retired construction site worker.
NKC was diagnosed to have asthma since 2002. Left lower lobe collapse was noted in his old CXR. Bronchoscopy was performed in Kowloon hospital, but the old notes were not available at that time.
CXR in September 2010 showed a prominent right hilum and left lower lobe collapse. Physical examination was unremarkable, apart from diffuse wheezing. Blood tests, sputum examination were normal. Spirometry showed an impaired lung function with obstructive pattern. The FEV1 were 1.24L (75% predicted) and 1.3L (78% predicted), pre- and post- bronchodilator respectively. The FVC were 2.15L (89% predicted) and 2.26L (93% predicted), pre- and post-bronchodilator respectively. The FEV1/FVC ratio was 58%. Flexible bronchoscopy was performed, it showed severe stenosis of left lower lobe, left lingual, and to a lesser extend the left upper division (fig.5) The mucosa of the stenosed area was abnormally swollen. Bronchial biopsy taken at left lower lower showed endobronchial schwannoma.
The old notes of NKC were reviewed, flexible bronchoscopy performed in 2000 in our hospital had similar findings to the recent bronchoscopy, biopsy taken at Lt. lingula showed endobronchial schwannoma.
Flexible bronchoscopy was repeated on 16 September 2011, showing similar findings. Post-bronchoscopically, it was complicated by protracted asthmatic attack requiring prolonged intravenous hydrocortisone and prolonged hospitalization. NKC was eventually stabilized and discharged on 15 Oct 2011, one month after the bronchoscopy. Computerized tomogram of thorax performed on 23 November 2011 revealed right middle lobe and left upper lobe collapse. Narrowing was noted at the proximal part of left upper lobe bronchus and left lower lobe bronchus. (fig.6)
In summary, NKC was diagnosed to have endobronchial schwannoma, with no apparent parenchymal involvement. The growth was nearly static over one year, and possibly over the past decade. His lung problem had been presented to cardiothoracic surgeons and they opined that it was not amendable to intervention, including stenting.

Discussion

Pulmonary schwannomas are exceedingly rare with only scattered case reports in the English literature. The largest case series was reported by Kasahara (1), with fifty cases of pulmonary schwannoma in Japan. There seems to be no gender differences in the prevalence of intrapulmonary schwannoma, and they may present at any age.
Schwannoma typically arises from neural crest cells that encapsulate the nerve sheath and can originate anywhere in the thorax. It can present either as a solitary benign neoplasm or, rarely, as a malignant tumour in the lung.
Pathologically, the tumour usually has a well-defined border. On high power view, it composed of spindle cells in compact palisading pattern. Schwannoma is negatively stained for collagen IV, although it may be positive around Schwann cells, and the strong diffuse staining for S100 protein confirmed the diagnosis of schwannoma.
Schwannomas can demonstrate a degree of cellular pleomorphism and even show a degree of mitotic activity due to a reaction to degenerative change referred as “ancient change”. Kasahara and colleagues classified these tumors as central when they are located in the trachea or proximal bronchus and peripheral when they cannot be reached or detected by bronchoscopy.
The central type is then further subdivided into intraluminal or combined (both intra- and extraluminal) types. The significance of extraluminal progression is that it can lead to a recurrence after endoscopic resection of intraluminal lesions.
In Kasahara’s series, half of the cases cases were classified as central type (13 at trachea, 12 at bronchus).
The main symptoms of patients with endobronchial schwannoma are dyspnea, wheezing, cough, sputum production, post-obstruction pneumonia, and hemoptysis. Of the cases reported by Kasahara et al, three patients with the central type and all patients with the peripheral type were asymptomatic. Intrapulmonary schwannoma can be multifocal. (2)
Under bronchoscopy, endobronchial schwannomas are seen as nodules covered with normal bronchial mucosa bulging into the tracheobronchial lumen or raising the bronchial mucosa with hypervascularity at the spur of the bronchus. It is difficult to distinguish schwannoma from benign tumour (such as carcinoid) or bronchogenic carcinoma solely on the basis of bronchoscopic findings. Ultimately, diagnosis is confirmed by histopathologic evaluation of the tumor.
The treatment of choice for endobronchial schwannoma remains surgical resection for patients who will tolerate it. This may require a bronchoplasty or sleeve resection if the location of the tumor is central. For tumors with both intra- and extraluminal involvement, resection must include the surrounding pulmonary parenchyma involved with the neoplasm to minimize the risk of local recurrence. Complete resection should be confirmed pathologically to minimize the chance for local recurrence.
For pedunculated and completely endobronchial tumors, tumors located in the trachea, or in patients with marginal cardiopulmonary function, and a histologic diagnosis was made preoperatively, bronchoscopic resection may represent a reasonable treatment option. Interventional bronchoscopic techniques (resection by forceps, electrocoagulation, NdeYAG laser, laser ablation) have been utilized in some cases of endobronchial tumors.
The paucity of literature on this topic makes comparing treatment options impossible.
It is also worthwhile to note that intrapulmonary schwannoma can presented as a lung mass with positive FDG uptake on PET scan. Nakamura et al (5) and Gonzalez et al (6) reported two cases of intrapulmonary schwannoma with intermediate to high FDH uptake ( SUV 3.5 to 3.9 g/ml ) on PET scan.

Fig. 1 (Above) Patient 1 with LB6 obstructed by a mass
Fig.2 (Above) Patient 1: Computerized tomogram of thorax on 6 April 2010 showed an enhancing lesion at left infrahilar region measuring 1.5 x 2.3 x 2.5 cm in LLL with erosion into LLL bronchus.
Fig.3 (Above) Spindle cells in compact palisading pattern
Fig. 4 (Above) Strong diffuse staining for S100
protein confirmed the diagnosis of schwannoma
Fig.5 (Above) Patient 2: Flexible bronchoscopy showed severe stenosis
Fig.6 (Above) CT Scan of patient 2: Narrowing was noted at the proximal left lower lobe, left lingual and left upper part of left upper lobe and left lower lobe bronchus

References

  1. Kasahara K, Fukuoka K, Konishi M, et al. Two cases of endobronchial neurilemmoma and review of the literature in Japan. Intern Med. 2003 Dec;42:1215-8.
  2. Bircan A, Kapucuoglu N, Ozturk O, Ciris M, Gokirmak M, Akkaya A. Bilateral benign endobronchial schwannoma. Ann Saudi Med. 2007; 27(5):375-7.
  3. Feldhaus RJ, Anene C, Bogard P. A rare endobronchial neurilemmoma (Schwannoma) Chest. 1989;95(2):461-2.
  4. Stouffer CW, Allan RW, Shillingford MS, Klodell CT. Endobronchial schwannoma presenting with bronchial obstruction. Interact Cardiovasc Thorac Surg. 2010 Jan;10:133-4
  5. Nakamura R, Ishikawa S, Sakai M, Goto Y, Minami Increased fluorodeoxyglucose-uptake in positron emission tomography with an endobronchial schwannoma occluding the left main stem bronchus. Y.J Thorac Oncol. 2009 Sep;4(9):1183-4.
  6. Gonzalez M, Prior JO, Rotman S, Ris HB, Krueger T. Benign intrapulmonary schwannoma: aspect on F-18 fluorodeoxyglucose PET/CT. Clin Nucl Med. 2011 Jun;36(6):465-7.
This site is registered on wpml.org as a development site. Switch to a production site key to remove this banner.