Skip to content

Menu

← Back

Dr Yau Pak Yuen Anthony & Dr Maureen Wong, Department of Medicine, Caritas Medical Centre

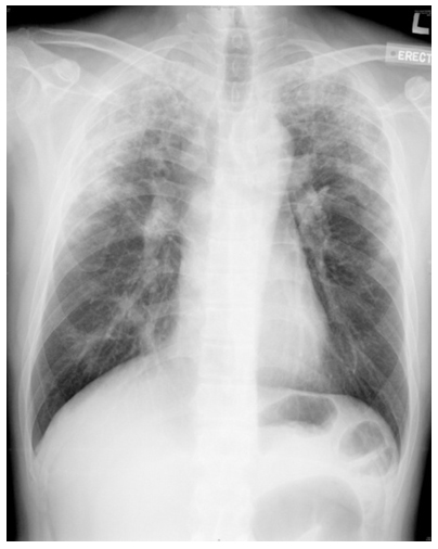
Fig. 1 CXR upon presentation
A 47 year-old man was admitted for chronic cough for one month. He also reported a history of night sweating. There was no fever, haemoptysis or weight loss. He had a history of ulcerative colitis since 3 years ago and was treated with Mesalazine SR 1g tds. He did not report any drug allergy, and he had no smoking or drinking history.

He was stable upon arrival and was not in respiratory failure. He was afebrile and physical examination revealed no cervical lymph nodes. There were crepitations over both lung fields. Cardiovascular, abdominal and neurological examinations were unremarkable.

His chest x-ray (CXR) showed bilateral upper lobe infiltrates with peripheral predominance (figure 1). Erythrocyte sedimentary rate (ESR) was elevated at 120mm/hr. Leukocytosis was noted with total white cell count at 18.0×10^9/L. Reversed A/G ratio was noted (albumin 30g/L, globulin 56g/L). Although two sputum samples for acid-fast bacilli (AFB) smear were negative, he was empirically treated as pulmonary tuberculosis (TB) with isoniazid, rifampicin, pyrazinamide and ethambutol with the clinical presentation and was subsequently referred to the chest clinic for subsequent management.

However, he was referred back from chest clinic one month later for the finding of blood eosinophilia and right-sided pleuritic chest pain, with TB medications being withheld in the chest clinic. While complete blood picture revealed peripheral eosinophilia with count up to 19.4×10^9/L, renal and liver function tests were both normal. Urine for eosinophils and anti-nuclear factor were negative. P-ANCA was positive (MPO-ANCA 0.7 U/mL). Serum total IgE level was normal and aspergillus-specific IgE was negative. QuantiFERON-TB test was positive (4.11 IU/mL). A repeated CXR taken then revealed some improvements when compared to earlier ones. The bronchoscopy performed subsequently revealed no endobronchial lesion. Transbronchial lung biopsy taken from the apical segment of right upper lobe revealed mucosal eosinophilic infiltration with no granuloma or features of vasculitis. The overall picture was compatible with eosinophilic pneumonia.

Unfortunately the patient suffered from silent acute myocardial infarction 3 days after the bronchoscopy, with new T-wave inversions at V4-6 of ECG and elevated Troponin I level at 1.34ug/L. Echocardiogram showed inferior hypokinesia and apical akinesia, together with an apical thrombus of 2.76 x 3.11 cm in size. He was treated with low molecular weight heparin and warfarin.

Mesalazine was withheld and the eosinophil count dropped to 1.2 x 10^9/L a week later. The chest symptoms subsided and both the eosinophil count and CXR became completely normal 2 months afterwards. A repeated echocardiogram demonstrated a complete resolution of the apical thrombus. The final diagnosis was mesalazine related pulmonary eosinophilia.

Discussion
The term “pulmonary eosinophilia” was first proposed by Crofton in 1952 for disorders characterized by chest radiographic infiltrates and peripheral eosinophilia. Out of the numerous causes that can lead to this syndrome, an important one is drug-related. Common offending agents include antibiotics and non-steroidal anti-inflammatory drugs (NSAID).

Sulfasalazine and mesalazine (5-ASA) are therapeutic agents used for inflammatory bowel disease (IBD). The older drug, sulfasalazine, has been in use for more than 40 years. While adverse effects of sulfasalazine have been reported to affect multiple organs including the lungs, mesalazine has been considered to be a relatively safe choice.

The first case of mesalazine-related pulmonary toxicity was reported in 1991 by Le Gros et al. [2] The exact incidence of mesalazine-related pulmonary complications is unknown though it appears to be very low. A study of 1700 mesalazine-treated patients revealed a 3% incidence of adverse effects, but it did not mention any pulmonary complications. [1]

The symptoms are usually insidious and progressive. Shortness of breath, fever, non-productive cough and fatigue are common. The symptoms can present from days to several years after initiating mesalazine (mean: 10.7 months). [1] The exact pathogenetic pathway is unknown.

Laboratory test may show elevated eosinophil count in peripheral blood and bronchoalveolar lavage (BAL). Arterial blood gas may show hypoxemia. The role of lung function test is yet to be defined, but it may show a restrictive picture with a decreased carbon monoxide diffusing capacity (DLCO).

CXR findings are non-specific. There would be interstitial infiltrates, consolidations or pleural effusions. It may be localized to either the upper or lower lungs. Computed tomography can confirm the CXR findings and to exclude mediastinal or pleural pathologies. It can also localize the area for tissue sampling. Histology may show abnormalities in alveoli, bronchi or bronchioles.[1] (Table1) Treatment can be simple. Withholding the drug usually results in rapid improvement. Steroid may be used. Prognosis is good in general.

Table1 Histological patterns of 5-ASA pulmonary toxicities

One important differential diagnosis is pulmonary manifestation of IBD. It is an uncommon condition and can occur at any time of the disease. Airway inflammation is the most common pattern in this disease. If left untreated, irreversible airway damage may occur and results in trachea stenosis, bronchiectasis or bronchiolitis obliterans syndrome. [3] Treatment is usually by inhalational or systemic steroids.

It can be difficult to differentiate between the two, but a rapid improvement upon drug withdrawal suggests a drug-induced process. Also, 70% of patients with IBD-related pulmonary disease also have extraintestinal involvement, while is less likely in the case of mesalazine-related lung injury. Histologically, alveolar diseases are more common in mesalazine-related pulmonary diseases while larger airway diseases are more common in IBD-related cases. [1]

References

  1. R.A. Foster et al. Inflam Bowel Dis 2003;9(5):308-315
  2. Le Gros et al. BMJ 1991;302:970
  3. Camus P. et al. ERJ 2000;15:5-10
This site is registered on wpml.org as a development site. Switch to a production site key to remove this banner.