Skip to content

Menu

← Back

Dr. CW Chow and Dr. ML Wong; Department of Medicine and Geriatrics, Caritas Medical Center

Case history
Mr. Wu, a 69-year-old gentleman, first presented to our unit in 2/2005. He was an ex-smoker and had a history of bilateral submandibular swelling for more than ten years. He had long-standing hypertension, was on adalat retard and also had a history of gastric ulcer in 1990.

He was admitted in 2/2005 for chest infection, with fever for 1 day, cough with scanty sputum. Physical examination was unremarkable except the bilateral hard submandibular swelling. Preliminary investigations showed an elevated white cell count (WBC) up to 17.7 x109/L and mildly deranged renal function test (urea was 8.1mmol/L and creatinine was 126umol/L) . The chest X-ray (CXR) on admission showed infiltrates over the right lower zone and left middle zone (Figure1). He was treated empirically with intravenous Augmentin but the fever did not respond. Sputum grew Morganella Morganii and repeated liver function test showed an isolated elevation in alkaline phosphatase (ALP), up to 257 IU/L. He was seen by the gastroenterology team and the antibiotics were changed to intravenous tazosin & gentamycin for probable cholangitis though subsequent ultrasound (US) and computer tomography (CT) of the abdomen could not confirm the diagnosis. The patient improved both clinically and radiologically and was discharged on 9/3/2005.

However, he defaulted follow up and went to mainland China. CXR in 5/2005 showed a right hilar shadow and CT Thorax revealed additional bilateral hilar and mediastinal lymph node enlargement. During bronchoscopy, the opening of the R lower lobe (RLL) was noted to be narrowed and swollen. Biopsy from the posterior segment however showed chronic inflammation only. The patient came back to Hong Kong in 6/2005 and he had no respiratory symptoms or systemic upset. Both submandibular glands remained hard with a size of 2 cm x 1 cm. There were no other palpable lymph nodes. Fine needle aspiration (FNA) of the submandibular glands yielded salivary gland only with no evidence of malignancy. Blood tests showed a normal WBC but the ESR was elevated to 85mm/hr. The RFT was deranged with a urea level of 7.4 mmol/L and creatinine level of 145 umol/L. US of both kidneys was unremarkable. The LFT was normal but albumin to globulin ratio was reversed. (albumin 31g/L and globulin 55g/L). CXR showed a persistence of irregular opacity over the right hilar region (Figure 2).

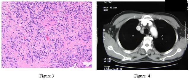
The sputum for AFB smears was negative on two occasions. Fibro-optic bronchoscopy (FOB) was performed on 28/6/2005; there was no endobronchial lesion and bronchial aspirate for AFB smear & culture were negative. Transbronchial biopsy from apical segment of RLL showed infiltration of lymphocytes, plasma cells and multinucleated giant cells, non-caseating granulomatous inflammation and fibrosis. The PCR for MTB DNA was however negative (Figure 3). Out-patient CT thorax and abdomen on 14/7/2005 confirmed no other mass lesion in both lungs. The abnormal findings included multiple enlarged lymph nodes in the pre-carinal, right paratracheal and bilateral hilar regions as well as striated enhancement pattern in both kidneys (Figure 4). He was referred to our respiratory clinic for follow up by our geriatric colleague but he defaulted again.

He presented to us in 10/2005 for malaise, weakness and acute renal failure (urea was 4 mmol/L, creatinine was 652umol/L, calcium was 2.08 mmol/L and albumin was 31g/L). The creatinine clearance was only 6.15 ml/min/1.73m2 while the 24 hr urine protein was 0.78g/day and 24 hour urine calcium was 2.7mmol (normal range: 2.5-7.5 mmol). The US kidneys were however unremarkable and there were again no chest symptoms. Detailed history could not reveal any cause for the renal deterioration. The patient was an immigrant from China at the age of 53 and he had worked as a farmer before. He then worked as a cleansing worker in HK for a few years before his retirement. There was no contact history with birds, chicken nor exposure to heavy metals. He had been taking Ling Zhi (靈 芝) capsules between 4/2005 – 6/2005 but there was no history of NSAIDs, diuretics or antibiotics. He had also tried some proprietary herbal health tonic for 2 weeks in 10/2005 which was later confirmed to be non renal toxic.

The submandibular glands enlargement persisted and he later developed episcleritis over the left eye. HRCT thorax on 18/10/2005 showed smooth septal thickening in both upper lobes, multiple tiny nodules with upper lobe predominance. Many were subpleurally located and ran along the fissures. The enlarged nodes still persisted over bilateral hilar & paratracheal region (Figure 5). Lung function test had been attempted for 16 times but all failed. A second FOB was repeated on 19/10/2005. It showed no endobronchial lesion. Biopsy from posterior segment of RUL & apical segment of RLL revealed fragments of lung tissue only, with focal fibrosis and scanty histiocytes. The cultures of bronchial aspirate were negative for bacteria, AFB & fungus. Renal biopsy was subsequently performed on 21/10/2005. It revealed the pathological diagnosis of non-granulomatous interstitial nephritis (Figure 6). Anti-nuclear factor screening was positive and the titre was 1:160. Other relevant investigations included HBsAg, Anti-HCV antibody, cryoglobulin, HIV, VDRL, ANCA , dsDNA and ENA , serum protein electrophoresis and urine BJP were all negative. A working diagnosis of sarcoidosis was thus fully established in view of the clinical, radiological and histological findings. Further investigations including Mantoux test (MT) 2, urine culture, urine for AFB culture, serum cryptococcal Ag, galactomannon, brucella antibody, toxoplasma antibody were negative subsequently. The serum lysozyme was elevated to 1771 u/ml (normal range: 150-500u/ml) but the serum angiotensin converting enzyme level was normal.

Oral prednisolone 20mg tds was started on 20/10/2005. Gallium scan was performed on 26/10/2005. It showed mild uptake in the mediastinum and hilar. Both kidneys were “hot”. Follow up RFT showed improvement. The creatinine went down to around 350umol/L. Repeated HRCT on 25/11/2005 showed resolution of the tiny lung nodules & septal thickening in both lungs. The steroid dosage was therefore gradually tapered off and titrated according to the renal function. Unfortunately he was complicated by open TB and was started on anti TB drugs since 12/05.

Discussion
Sarcoidosis was first described in 1877. It is a multi-system disorder of unknown causes. It occurs throughout the world and it affects all ages, genders and races. The age-adjusted annual incidence rate in the US was 35.5 per 100,000 for blacks and 10.9 for whites.1 In Japan, there had been 4774 reported cases between 1960-1999. The annual incidence rate is in the rising trend. It rose from 1.6/100,000 in 1960-1970 to 25.6/100,000 in 1970-1980.2 In China, the first reported case was in 1958. There had been 3000 reported cases in 1999.3 The highest prevalence rates have been reported in Scandinavian countries & the US African-American population, up to 50/100,000.4 Sarcoidosis shows a predilection for adults <40 years, peaks between 20-29 years old. There is slight female predominance. In Scandinavian countries, Germany & Japan, there is a second peak incidence in females > 50 years of age. The overall mortality is about 1-5%.5 Clustering of cases have been reported including seasonal (winter & early spring), geographical, occupational (history of exposure of metal dusts, fumes & organic antigens), familial (positive associations in HLA A1, B8, DR3, HLA B27 and negative associations with HLA B12 and DR4 ). Sarcoidosis are more common in non-smokers.6,7 The exact etiology is unknown but it probably results from a response to a persistent and poorly degradable antigenic stimulus. Potential etiological agents suggested to be involved in sarcoidosis includes infection such as viruses (herpes, Epstien-Barr, retrovirus, coxackie B virus, cytomegalovirus), borrelia burgdorferi, propionbacterium acnes, mycobacterium tuberculosis, other mycobacteria and mycoplasma. Other suggested agents include aluminum, zirconium, talc, pine tree pollen and clay.8

The clinical features depend on ethnicity, duration of illness, site and extent of organ involvement and the activity of the granulomatous process. One-third of patients may present with non-specific constitutional manifestations like fever, fatigue, malaise, weight loss & night sweat. Almost 95% of patients have lung involvement. Other system involvement include skin, lymph nodes, eyes, liver, spleen, neurological, cardiac, renal, salivary gland, bone marrow and musculoskeletal system.9 Concerning the respiratory system, the patient may present as dry cough, dyspnea, chest pain and rarely haemoptysis. The most common type of pulmonary infiltrate is diffuse with an interstitial reticulonodular pattern and upper lobe predominance. The larynx, trachea & bronchi may also be involved, leading to stridor, airway obstruction and bronchiectasis. Other uncommon manifestations include pleural effusion, chylothorax, pleural thickening, calcification, lymph node calcification and cavity formation. There may be clinical presentations affecting other systems such as uveitis, anaemia, overall lymphopenia, elevated ESR, ventricular dysrthymia, cardiomyopathy, congestive heart failure, hypercalcaemia, hypercalcaemia, nephrocalciniosis, obstructive uropathy, and interstitial nephritis. Sarcoidosis may coexist with connective tissue diseases including rheumatoid arthritis, SLE, systemic sclerosis, Sjorgen’s syndrome and the spondyloarthropathies as they may share a common immunopathogenic mechanism.10 The diagnosis of sarcoidosis may then be difficult.

The staging of sarcoidosis is based on the posteroanterior chest radiogram, from stage 0 to stage IV. Stage 0 represents a normal chest radiograph. Bilateral hilar lymphadenopathy (BHL) is classified as stage I. BHL plus pulmonary infiltrate is classified as stage II. Stage III disease includes pulmonary infiltrate without BHL and pulmonary fibrosis is classified as stage IV.8 The lung function test would be restrictive, with decrease in TLC, FEV1 & FVC and DLCO. Bronchoscopic biopsy finding includes widespread non-caseating epitheloid granuloma which may contain cytoplasmic inclusions such as asteroid bodies. In the lung, about 75% of the granulomas are located close to or within the connective tissue sheath of bronchioles, subpleural or perilobular spaces (a lymphangitic disturbution). The bronchoalveolar larvage shows an increase in CD4/CD8 ratio > 3.5 with a sensitivity of 53% and specificity 94%. The classical CT findings include widespread small nodules with a bronchovascular and subpleural distribution, thickened interlobular septae, architectural distortion or conglomerate masses. The Kveim-Siltzbach test (intradermal injection of sarcoid tissue) is no longer performed. The Tuberculin test is negative in 80% of patients which is related to the depressed cell-mediated reactivity to tuberculin & other antigens. The lysozyme and serum angiotension-converting enzyme (ACE) are elevated but the serum ACE may also be elevated in lymphoma, TB, asbestosis or silicosis and hence is not specific for sarcoidosis. The radiotracer scanning with Gallium-67 can localizes inflammatory foci but it is not suggested for routine use because it is non-specific and a negative scan does not exclude the disease.

There is no good randomized control trial concerning the treatment of sarcoidosis. Steroid is often used for significant and symptomatic disease. The ATS/ERS/WASOG criteria for considering steroid in sarcoidosis are as follows: progressive symptomatic pulmonary disease, asymptomatic pulmonary disease with progressive loss of lung function, cardiac disease, neurological disease, eye disease not responding to topical therapy, symptomatic hypercalcaemia, other symptomatic or progressive extrapulmonary disease.8 The initial dosage is often prednisolone 20-40mg/day (or 0.5-1.5mg/kg/d) and clinical response is evaluated after 1-3 months. The dosage is gradually tapered to 5-10mg/day and continued for a minimum of 12 months for responders. Monitoring for relapse is indicated after tailing off steroid and relapse patients may require long term, low dose therapy.8 Immunosuppressive agents such as methrotrexate (MTx), azathioprine (AZA) can be used in refractory cases or as an steroid sparing agents but are often limited by their own side effects. According to the Cochrane review including 5 studies with trials concerning MTx, chloroquine, cyclosporine A & pentoxifylline, the data on lung function, CXR scores and dyspnea were largely inconclusive. There were 2 studies on MTx & pentoxifylline showing association with a steroid sparing effect which was apparent at 12 months but not at 6 months.11

There were isolated case reports demonstrating the usefulness of infliximab12 but the evidence is not conclusive. The phase 2 randomized controlled trials on 138 patients for using infliximab showed a statistically significant improvement in FVC of 2.5% at 24 weeks. Post hoc exploratory analysis suggested that patients with more severe disease tend to benefit more from infliximab treatment.13 The use of interferon for the treatment of chronic hepatitis C may induce or exacerbate Sarcoidosis.14,15 The poor prognostic factors for sarcoidosis include the followings : stage II, III, IV disease, age of onset >40 , black race, cardiac involvement, chronic uveitis, cystic bone disease, lupus pernio, neurosarcoidosis, nephrocalcinosis, chronic hypercalcaemia & progressive pulmonary fibrosis. Concerning the natural history of sarcoidosis, about 70% of patients will recover (with or without treatment) with minimal or no residual manifestations. There are about 20% of patients having permanent loss of some lung function or some permanent visual impairment and 1-5% of patients may die of respiratory insufficiency, cardiac or CNS damage.16

References:

  1. Rybicki BA, Major M, Popovich J et al. Racial differences in Sarcoidosis incidence: a 5 year study in a health maintenance organization. Am J Epidemiology 1997; 145: 234-241.
  2. The 6th WASOG Meeting. Sarcoidosis Vasc Diffuse Lung Disease 1999; 16:5-54.
  3. 胡紅, 朱元玨. 結節病基礎與臨床研究的新進展. Chin J Internal Medicine, 2001, 40 (January), 51-52.
  4. James DG. Sarcoidosis and other Granulomatous Disorders. New York, Marcel Dekker, 1994 ,729-743
  5. Hunninghake GW, Costabel U, Ando M et al. ATS/ERS/WASOG statement on Sarcoidosis. Sarcoidosis Vasc Diffuse Lung Disease 1999; 16:149-173
  6. Bardinas F, Morera J, Fite E et al. Seasonal clustering of sarcoidosis. Lancet 2455-2456 Lancet 1989 ;2:455-6.
  7. Glennas A, Kvien TK, Melby K et al. Acute sarcoid arthritis: occurrence, seasonal onset, clinical features seasonal and outcome. Br J Rheumatol. 1995;34:45-50.
  8. Anonymous. Statement on sarcoidosis. Joint statement of the ATS,ERS & WASOG adopted by the ATS Board of Directors and by the ERS Executive Committee. February 1999. Am J Respir Crit Care Med 1999, 160 ; 736-755.
  9. Baughman RP, Teirstein AS, Judson MA et al. Clinical characteristics of patients in a case control study of sarcoidosis. Am J Respir Crit Care Med 2001;164(10 Pt 1):1885-9.
  10. Enzenauer RJ, West SG. Sarcoidosis in autoimmune disease. Semin Arthritis Rheum 1992;22(1):1-17.
  11. Paramothayan S, Lasserson TJ, Walters EH. Immunosuppressive and cytotoxic therapy for pulmonary sarcoidosis. Cochrane Database Syst Rev 2006 ;3:CD003536.
  12. Baughman RP, Lower EE. Infliximab for refractory sarcoidosis. Sarcoidosis Vasc Diffuse Lung Dis. 2001;18:70-4.
  13. Baughman RP, Drent M, Kavuru M et al. Infliximab therapy in patients with chronic sarcoidosis and pulmonary involvement.Am J Respir Crit Care Med 2006;17:795-802.
  14. Alazemi S, Campos MA. Interferon-induced sarcoidosis. Int J Clin Pract 2006 ;60:201-11.
  15. Celik G, Sen E, Ulger A et al. Sarcoidosis caused by interferon therapy. Respirology 2005;10:535-40.
  16. Costabel U. Sarcoidosis: clinical update. Eur Respir J Suppl 2001 ;32:56s-68s.
This site is registered on wpml.org as a development site. Switch to a production site key to remove this banner.