Skip to content

Menu

← Back

Dr HW SHE and Dr CK NG, Department of Medicine, Queen Elizabeth Hospital

Case 1
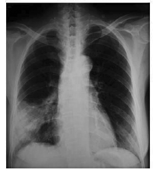
Madam L is a 58 year old housewife that suffered from end stage renal failure (ESRF) due to chronic glomerulonephritis with haemodialysis in Queen Elizabeth Hospital (QEH) since 2001. She underwent cadaveric renal transplant in mainland China in August 2002 and was put on immunosuppressive treatment that included tacrolimus, prednisolone and azathioprine. She complained of cough and weight loss for 2 months since January 2006. Chest x-ray (CXR) upon admission revealed right lower lobe (RLL) consolidation (Figure 1). Sputum specimens for bacterial culture, cytology, acid-fast bacilli (AFB) staining and culture were all negative. Computed tomography (CT) of thorax revealed RLL consolidation with an area of necrosis. Blood specimens for bacterial cultures, cytomegalovirus antigen (CMV pp65), serum Galactomannan, cryptococcal antigen and Burkholderia pseudomallei IgG/IgM (ELISA) were all negative.

Figure 1. CXR on admission showing right lower lobe consolidation

Her symptoms persisted with deteriorations of serial CXRs despite being given broad spectrum antibiotics. Fiberoptic bronchoscopy (FOB) revealed an endobronchial mass protruding from RLL. Histology revealed abundant histiocytes and gram positive coccobacilli. Michaelis-Gutmann bodies (Figure 2) and malakoplakia were detected, features of which were compatible with Rhodococcus infection. Meropenem, azithromycin and levofloxacin were commenced. However, she developed septicaemic shock, multi-organ failure and eventually succumbed despite intensive medical treatment and support.

Case 2
Mr Y is a 55 year-old man who suffered from systemic lupus erythematosus and diabetic nephropathy, leading to ESRF. He underwent cadaveric renal transplant in China in March 2005 and was put on cyclosporin A, corticosteroids and mycophenolate mofetil afterwards. He complained of fever, breathlessness and developed respiratory failure in August 2005 in mainland. CT thorax revealed multiple cavitatory lesions at the lung apices, which was compatible with aspergillus infection (Figure 3). He was initially treated with amphotericin B, which was stopped due to allergic reactions. Treatment was switched to one of the azoles, that led to favourable clinical response. However, similar symptoms recurred in December 2005 and he was treated with broad spectrum antibiotics and intravenous voriconazole in China. As the subsequent follow-up CT thorax showed mild decrease in size of cavitatory lesions, oral voriconazole was continued.

He attended private nephrologist in Hong Kong in March 2006 for 3rd episode of fever, cough and breathlessness. CT thorax showed increased left cavitatory lesion with thickening of its wall. He was referred to QEH subsequently. Fungal antibodies (aspergillus, histoplasma and coccidiodes), serum Galactomannan, and -D-glucan were all negative. FOB showed no endobronchial lesion and specimens of bronchial aspirate were all negative. CT guided fine needle aspiration of left lung lesion was subsequently performed, but the histological findings were unremarkable. Fever persisted despite broad spectrum antibiotics and anti-fungal treatment. In view of persistent symptoms despite treatment, unresolved radiological abnormalities and uncertain etiological diagnosis, patients were referred to cardiothoracic surgeons. Lobectomy was performed and the histological specimen showed fungal organisms with branching hyphae (Figure 4). Culture failed to growth any fungus. Fever subsided after surgery and oral voriconazole was continued.

Discussion
Infections after renal transplantation were common and accounted for 25-30% of deaths in renal transplant recipients in Hong Kong.1 Pulmonary infection remained the commonest type of infection.2 Early diagnosis and prompt initiation of appropriate treatment is important. Infection time-line provided good estimation of possible etiological agents.3 Infections within the first month post-transplant are likely to be surgically related complications. Infections from 2nd to 6th month post-transplant are mostly related to the use of immunosuppressives. In 80% of patients whose immunosuppressive regime can be reduced to a minimally effective dose after 6 months, the risk of infection and possible etiological agents are similar to that of the general population. In the remaining patients with relapsing diseases requiring rescue therapy, the possible etiologies will be similar to patients in 2nd to 6th month post transplant. The most common etiological agents identified in Chinese population were bacterial, tuberculosis and polymicrobial agents4 respectively.

Consolidation, peri-bronchovascular abnormalities and nodules are common radiological findings that provide additional clues for possible etiological diagnosis. Useful microbiological investigations include nasopharyngeal aspirate for virus isolation, sputum for bacterial and mycobacterial smear and cultures, urine antigen tests, and various serological tests for virus, bacteria and fungus. Fiberoptic bronchoscopy with bronchoalveolar lavage and transbronchial biopsy is an useful, though relatively invasive, diagnostic tool if those initial tests fail to yield useful diagnostic clues. Open lung biopsy should be considered as a last resort if all the above diagnostic efforts failed and if the biopsy result is expected to affect subsequent management.

Broad spectrum antibiotics should be commenced empirically while the results of microbiological tests are still pending.5 Adjustment of the intensity of immunosuppressive regimen is also important to regulate the level of cellular-mediated (T-lymphocyte) deficiency.

Rhodococcus equi is a gram-positive coccobacilli, usually found in water and soil. Pulmonary infections in immunocompromised host commonly affect the upper lobe, occasionally with cavity formation resembling that of tuberculosis. Twenty cases in transplant recipients had been reported in the literature.6 Diagnosis is usually made from sputum culture, blood culture, bronchoalveolar lavage and lung biopsy. No standard recommendation for treatment is available but systemic combination antibiotics followed by prolonged oral maintenance treatment are advocated to reduce relapse rate. Surgery intervention can be considered for abscess and persistent lesions despite antibiotic treatment.

Aspergillus infection is closely related to defects in cellular mediated immunity and clinical manifestations range from colonization, local infection, systemic infection to hypersensitivity reactions7. In immunocompromised host, aspergillus infection can manifest radiologically as nodules, pleural based, wedge shaped consolidations or cavities. CT is more sensitive in detecting early radiological changes and specific signs (like crescent and halo signs) suggestive of angio-invasion8. Serum (13) b-D- glucan is a non-specific fungal marker for tissue invasion and Galactomannan is more specific for tissue invasion in Aspergillus. Fiberoptic bronchoscopy with bronchoaveolar lavage and transbronchial biopsy is an useful diagnostic tool in immunocompromised patients. Open lung biopsy is the last resort for making a diagnosis of invasive aspergillosis. Amphotericin B is the conventional anti-fungal treatment for invasive aspergillosis. Voriconazole had been recently advocated to be more effective than amphotericin B.9 However, there are potentially severe drug interactions with immunosuppressants commonly used in transplant patients. Caspofungin can be considered as rescue therapy for failure cases.10 Surgery is rarely considered unless the disease is localized and fails to respond to anti-fungal agents.

References:

  1. Ko YW, Chau KF, Leung CB et al. Hong Kong Registry Report 2004. Hong Kong J Nephrol 2005;7:38-46.
  2. Mermel LA, Maki DG. Bacterial pneumonia in solid organ transplantation. Semin Respir Infect 1990; 5: 10-29.
  3. Fishman JA, Rubin RH. Infection in organ transplant recipients. N Engl J Med 1998; 338: 1741-1751.
  4. Chang GC, Wu CL, Pan SH et al. The diagnosis of pneumonia in renal transplant recipients using invasive and non-invasive procedures. Chest 2004; 125: 541-547.
  5. Chakinala MM, Trulock EP. Pneumonia in the solid organ transplant patient. Clin Chest Med 2005; 26: 113-121.
  6. Perez MG, Vassilev T, Kemmerly SA. Rhodococcus equi infection in transplant recipients: a case review of mistaken identity and review of literature. Tranpl Infect Dis 2002; 4: 52-56.
  7. Soubani AO, Chandrasekar PH. The clinical spectrum of pulmonary aspergillosis. Chest 2002; 121: 1988-99.
  8. Shah RM, Miller W. Pulmonary complications of transplantation: radiological considerations. Clin Chest Med 2005; 26: 545-560.
  9. Herbrecht R, Denning DW, Patterson TF et al. Voriconazole versus amphotericin B for primary therapy for invasive aspergillosis. N Eng J Med 2002; 347: 408-415.
  10. Maertens J, Raad I, Petrikkos G et al. Efficacy and safety of caspofungin for treatment of invasive aspergillosis in patients refractory to or intolerant of conventional antifungal therapy. Clin Infect Dis 2004; 39:1563–71.
This site is registered on wpml.org as a development site. Switch to a production site key to remove this banner.