Skip to content

Menu

← Back

Dr. Michael Chan, Department of Medicine, Prince of Wales Hospital

Case 1
Case history
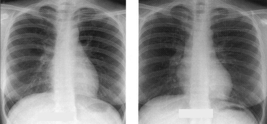
The patient was a 30-year-old nurse lady who worked as a nurse in the emergency department. She enjoyed good past health. She presented with fever, chill, dizziness, diarrhoea and malaise; together with positive SARS (severe acute respiratory syndrome) contact history. Physical examination was unremarkable. Radiologically, there was some haziness over right lung. Complete blood picture, biochemistry, cardiac enzyme andclotting were normal. In view of fever, contact history and CXR changes, the Medical Officer decided to start her on empiricallevofloxacin and ribavirin for both community-acquired pneumonia (CAP) and SARS. Upon Day 12 after admission, the patient’s fever settled and was transferred out tothe step-down ward. Then there was spike up of fever again on Day 17 after stopping all the antibiotics. Also the patient made an interesting comment. ” I felt worst after stopping levofloxacin.” At this juncture, all the investigation result was negative including corona virus serology, RT-PCR, lymphocyte count and sputum test for TB, so HRCT was ordered for her. The CT film showed the presence of centrilobular nodule over right upper lobe (RUL). As the patient had been admitted to the SARS ward before, the physician decided not for bronchoscopy. Empirical anti-tuberculosis treatment was started. Subsequently both the fever and HRCT responded well to TB treatment. A serial CXR was taken, which showed improvement over the RUL (Figure 1).

Figure 1: Serial CXRs showing improvement of RUL shadow

Discussion
Levofloxacin was widely used as an empirical antibiotic for CAP in the SARS epidemic. However as the quinolone class also has partial activity against Mycobacterium tuberculosis, it may mislead us to a wrong diagnosis in certain circumstances. A retrospective cohort study was conducted among adults with culture-confirmed tuberculosis to assess the effect of empiric fluoroquninolone therapy on delays in the treatment of tuberculosis. 1 Among patients treated empirically with fluoroquinolones, the median time between presentation to the hospital and initiation of antituberculosis treatment was 21 days (interquartile range, 5-32 days); among those who were not, it was 5 days (interquartile range, 1-16 days; P =0.04). Initial empiric therapy with a fluoroquinolone was associated with a delay in the initiation of appropriate antituberculosis treatment. Therefore, before starting on the fluroquinolone treatment for CAP, we have to consider M tuberculosis as a possible causative pathogen and an appropriate diagnostic work-up should be initiated for patients who have symptoms consistent with tuberculosis.

Reference
1. Dooley KE, Sterling TR. Empiric treatment of community-acquired pneumonia with tluoroquinolones, and delays in the treatment of tuberculosis. Clinical Infectious Diseases 2002;34:1607-12.

Case 2
Case history
A 25-year old lady worked as a primary school teacher in China and had past history of receiving blood transfusion after wrist cutting as a suicidal attempt. She married to a HK citizen and moved to HK since April 2003. As her husband suffered from schizophrenia and was admitted to TPH psychiatric ward in May 2003, she visited him in the hospital during the SARS epidemic. Then she presented with fever, dry cough, mild dyspnoea and myalgia. Physical examination was unremarkable. Blood results revealed WCC 3.1 x 109/dl, lymphocyte 0.4 x 109/dl, Hb 12.3 g/dl, Plt 127 x 109/dl, LDH 351 U/L. Liver and renal function tests, and clotting profile were normal. Sputum for bacteriological and TB studies were negative. Both corona virus serology and RT-PCR were also negative. Radiologically, there was perihilar hazziness over bilateral lung fields. She was soon started on intravenous hydrocortisone and ribavirin in view of suspected SARS. Initially the fever responded well, but the patient’s oxygen requirement, CXR shadow and lymphopenia deteriorated. Therefore HRCT thorax was performed and showed the presence of pneumatocele on top of diffuse ground glass and consolidative changes (Figure 2). Because of atypical CT finding and clinical course, HIV test was performed and the patient was confirmed positive with CD4 count of 4 only. Sputum examination for PCP came back to be positive. Finally, septrin was started with good clinical response. Upon discharge, she was referred to Kowloon Bay clinic for anti-HIV therapy and antibiotic prophylaxis for opportunistic infection.

Figure 2: HRCT thorax showing diffuse ground glass opacification with pneumatoceles

Discussion
The diagnosis of SARS can be difficult if the patient had underlying medical illness because of abnonnal baseline blood test and alternative diagnosis such as opportunistic pneumonia should be considered.

Case 3
Case history
A 26-year-old lady worked as a nurse in the observation room during the SARS epidemic and enjoyed good past health. She presented with fever, chills & rigor without other symptoms. Initial CXR was clear. Blood test revealed WCC 9.0 x 109/dl, lymphocyte count 0.9 x 109/dl and raised APTT 40 seconds and D-dimer. Cardiac enzyme, renal & liver function test were normal. Radiologically the CXR showed right middle lobar consolidation, which was typical for community-acquired pneumonia. Therefore the Medical Officer initially started her on augmentin and klacid. Then later he switched to cefotaxime and levofloxacin. However, despite all the given measures, fever still persisted with increased lymphopenia, cardiac enzyme and bilateral CXR consolidative changes. Finally the RT-PCR for coronavirus from nasopharyngeal aspirate came back to be positive. Therefore, she was given steroid and ribavirin. Then later 6 pulses of intravenous methylprednisolone and convalescent serum were also given with significant improvement afterwards.

Discussion
We should always have high index of suspicion despite atypical clinical & radiological feature in the SARS epidemic era. Also appropriate quarantine measure, treatment and investigation should be carried out whenever there is suspicion.

This site is registered on wpml.org as a development site. Switch to a production site key to remove this banner.