Skip to content

Menu

← Back

Drs. Julie Wang, Bing Lam, WC Yiu, University Department of Medicine, Queen Mary Hospital

A 66 years old male with mild hypertension, presented with 2-month history of persistent left ankle pain and swelling. He was a nonsmoker but social drinker, receiving metoprolol 25 mg twice daily for treatment of hypertension.

He was admitted to the orthopedic unit for investigation. There were no other systemic complaints. MRI of the ankle showed erosive changes of the left subtalar joint; left subtalar arthrotomy was therefore scheduled.

Preoperative CXR (Figure 1) was normal. Blood results revealed WBC ~10 x l09/dl; Hb 9.0 g/dl; CRP 7.05mg/dl; ESR >l40mm/hr. Liver & renal function tests, clotting profile were normal; immune markers were unremarkable. Synovial biopsy showed nonspecific synovitis; joint fluid for bacteriological studies were negative.

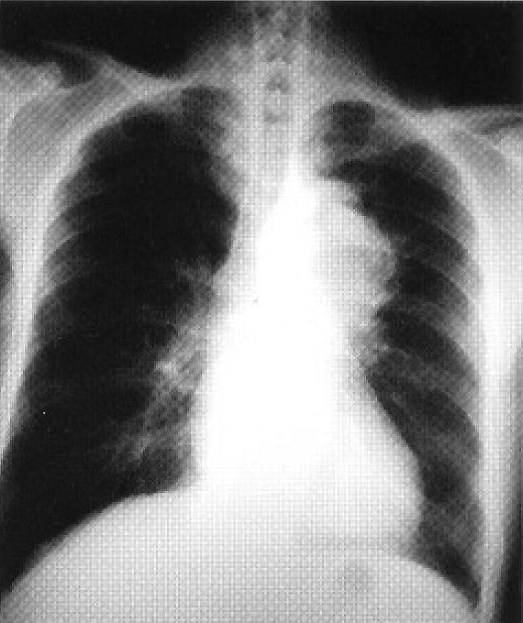
In the third week of postoperative period while the patient was ready for discharge, he suddenly developed massive hemoptysis~ 500ml. A second CXR (Figure 2) was then taken, which showed marked enlargement of the aortic arch. Emergency flexible fibreoptic bronchoscopy demonstrated oozing of blood from apico-posterior segmental bronchi of the left upper lobe, and blood clots in both bronchial trees.

Figure 1: Normal preoperative CXR
Figure 2: CXR showing enlarged aortic arch

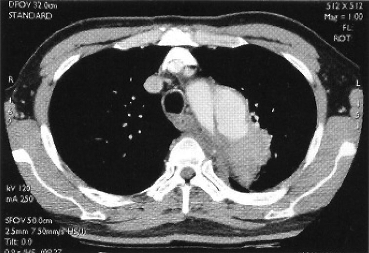
ontrast CT thorax showed a large para-mediastinal mass in the left upper lobe in connection with the aortic arch (Figure 3). There was direct communication between the mass and the aortic lumen via a large focal luminal defect. The large periaortic haematoma extended into the posterior mediastinum, encasing the descending aorta and esophagus (Figure 4). The mass was closely associated with and surrounding the apico-posterior segmental bronchus, with infiltration of adjacent lung parenchyma. The rest of the aorta was pristine without aneurysmal dilatation, dissection or atheroma.

Figure 3: CT thorax showing a huge mass adjacent to aortic arch
Figure 4: CT thorax showing a large periaortic haematoma

The radiological diagnosis was compatible with leaking mycotic thoracic aortic aneurysm. The patient was sent to the cardiothoracic unit and urgent aortic pseudoaneurysm resection with graft interposition was done. Microscopy revealed abundant Gram positive organisms forming band like infiltrate in the aortic wall, confirming the diagnosis.

Culture grew Pasteurella multocida and coagulase-negative staphylococcus. Medical treatment included Augmentin for 3 weeks and gentamicin for 1week.

Discussion
Mycotic aneurysm is defined as a localized, irreversible dilatation of an artery, due to destruction of the vessel wall by an infection. It can arise from bacterial infection of a previously normal arterial wall or through secondary infection of a pre-existing aneurysm

Predisposing factors includes arterial injury (traumatic or iatrogenic), intravenous drug use and percutaneous angiography etc. Immunocompromised status, bacterial endocarditis with septic embolization to the vasa-vasorum; or direct arterial wall invasion from contiguous infective focus are also important causes.

Mycotic aneurysm as a cause of hemoptysis is rare. Reported aneurysmal sites include the thoracic aorta (1-6), pulmonary artery (7), subclavian artery (8-9) and bronchial artery (10).

Micro-organism culprits are staphylococcus aureas (4,8), staphylococcus epidermis (10), clostridium septicum (6), group B streptococcus (3), pseudomonas aeruginosa (1,5), aspergillosis (9) and tuberculosis (2) etc.

Diagnosis is suspected on imaging studies including contrast CT thorax. It is confirmed by culture of the organism from blood or aneurysmal tissue, and/or histological examination of resected aneurysmal tissue.

Surgical treatment consists of repair or reconstruction with graft interposition and/or arterial ligation. In general, 4-6 weeks of parenteral antimicrobial treatment is recommended for treatment of infection, however, the exact duration of therapy depends on clinical response, type of organisms and sensitivity pattern.

In our patient, an unusual pathogen pasteurella multocida grew from the aneurysmal tissue. It is mainly a pathogen of animals, while infections in humans are usually a result of bites or scratch from dogs or cats. Reported human disease include mycotic aneurysm or soft tissue infections (11). However, we were not able to identify such risk factors from the patient.

References

  1. Manzi SV, Fultz PI, Sickel JZ, Feins R. Chest mass in a patient with leukaemia and haemoptysis. Invest Radiol 1994; 29: 940-943.
  2. Sandron D, Patra P, Lelann P, Bouillard J, et al. Tuberculosis pseudo-aneurysm of the descending thoracic aorta. Eur Respir J 1998; 1:565-567.
  3. Andreasen DA, Dimcecski G, Nielsen H. Mycotic aneurysm of the aorta caused by Group B Streptococcus. Scan J Infect Dis 2002;34(3): 208-9.
  4. Lavoipierre AM, Hatfield JJ. Mycotic aneurysm of thoracic aorta as a case of haemoptysis. Role of dynamic CT scanning. Australas Radiol 1985; 29: 332-334.
  5. Feltis BA, Lee DA, Beilman GJ. Mycotic aneurysm of the descending thoracic aorta caused by Pseudomonas aeruginoa in solid organ transplant recipient: case report and review.
  6. Surg Infect (Larchmt) 2002 Spring; 3(1): 29-33.
  7. Muschi IA, Rhee SW, Pane T, Granowitz E. Clostridium septicum mycotic aortic aneurysm. Am J Surg. 2002 Mar; 32(3): 199-201.
  8. Miller CM, Sangiuolo P, Schanzer H, Haimov M, et al. Infected false aneurysm of the subclavian artery: a complication in drug addicts. J Vas Surg 1984; 1: 684-8.
  9. Giraldo HD, Rivera JR. Mycotic pulmonary artery aneurysm; a rare cause of fatal haemoptysis. Bol Asoc. Med P Rico. 1977: 266-271.
  10. Saliou C, Badia P, Duteille F, D’Attellis N, Ricco JB, Barbier J. Mycotic aneurysm of the left subclavian artery presented with hemoptysis in an immunoompromised man: Case report and review of literature. J Vasc Surg 1995;21:697-702.
  11. Miller GA Jr, Heastonh DK, Moore AV et al. CT differentiation of thoracic aortic aneurysms from pulmonary masses adjacent to the mediastinum. J Comput Assist Tomogr 1984;8:437-442.
  12. Pestana GA. Mycotic aneurysm and osteomyelitis secondary to infection with Pasteurella multocida. Am J Clin Pathol 1974;62:355-60
This site is registered on wpml.org as a development site. Switch to a production site key to remove this banner.