Skip to content

Menu

← Back

Dr Alice SS Ho, Dr HS Chan; Alice Ho Miuting Nethersole Hospital

Case History
Madam Lau was an eighty-one years old housewife with history of hypertension, ischemic heart disease, paroxysmal atrial fibrillation and renal impairment. She had been taking medications for years because of her heart problem. She drank alcohol occasionally but she never smoked. She complained of cough with whitish sputum for I week. She was admitted with shortness of breath. It was insidious in onset and associated with mild exertional dyspnoea. There was no history of hemoptysis, chest pain, night sweating or recent travel. On examination she had low-grade fever up to 38°C. There was no finger clubbing or peripheral edema. Chest examination revealed bilateral basal crepitations with diffuse rhonchi. Examination of other system was unremarkable.

Investigations
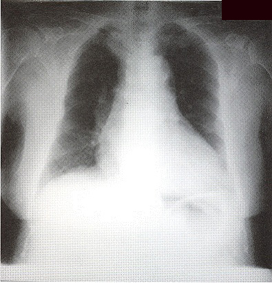
Complete blood picture showed mild neutrophilia. ESR was raised to 123mm/hr. She had mild renal impairment. Arterial blood gas on room air was nonnal on admission. Albumin/globulin ratio was reversed. Liver profile was normal. Sputum for culture grew oral flora and all smears for acid-fast bacilli were negative. CXR (Fig I) showed bilateral patchy opacity with nonnallung volume. No abnonnal mediastinal shadow was found. Old CXR of this patient was nonnal (Fig 2).

Figure 1
Figure 2

Progress
Initially, she was treated as community acquired pneumonia. However her symptom did not improve and she got persistent low-grade fever. CXR showed even more extensive shadow. Bronchoscopy was performed but no endobronchial lesion was found. Transbronchial biopsy was taken from left lingular lobe showed non-specific inflammation. Neither malignant cell nor acid-fast bacilli was found. CT thorax (Fig 3 & 4) was performed which showed widespread ill-defined patchy and nodular opacities and small reactive mediastinal lymph node. CT guided fine-needle aspiration of lung opacity was perfonned but material obtained was insufficient for diagnosis. Her general condition deteriorated despite multiple course of antibiotics treatment. She developed type 1 respiratory failure with oxygen dependency. Open lung biopsy was arranged but was withheld due to poor respiratory reserve. Another session of bronchoscopy was performed. This time the transbronchial biopsy showed evidence of diffuse alveolar damage. Her condition deteriorated further and became bed-ridden. On further questioning, amiodarone has been taken by patient for cardiac problem for few years and was stopped few months prior this admission due to bradycardia. Amiodarone pulmonary toxicity was suspected and oral prednisolone with a dose of Img/kg/day was started.

Figure 6
Figure 7

Madam Lau ‘s symptoms slowly and gradually subsided. Three weeks after starting steroid therapy she was able to walk for 50 metres on level ground and did not need oxygen supplement. HRCT thorax was repeated but similar patchy opacities without interval changes was seen. She was discharged home with close follow-up arranged. However she was admitted again one week latter because of fever and shortness of breath. CXR was repeated which showed a similar pattern of multiple and bilateral opacity. Despite treatment she developed respiratory failure soon after admission and required mechanical ventilation. Multiple antibiotics and empirical anti-tuberculosis drugs were given. Bronchoscopy was repeated but no pathogen was found. Eventually patient succumbed. Electronic microcopy reported the presence of foamy macrophage in the postmortem lung biopsy.

Discussion
Amiodarone is an iodinated benzofuran derivative with 37% iodine by weight. It is extremely lipophilic with an estimated half-life of 16 – 180 days. It is metabolized in liver and intestine and the major metabolite, desethylamiodarone, is pharmacologically active. Pulmonary toxicity is a well-recognized serious complication of amiodarone usage. Although the early data suggested up to 10% of patients taking amiodarone developed pulmonary complications, recent prospective study with a low dose maintenance dose showed around 1%.1 Although it is said that amiodarone pulmonary toxicity (APT) is rare for patient taking daily dose below 400mg, none is spared.

Presentation
The most common presentation is of insidious onset. The symptoms are nonspecific and include unproductive cough, dyspnoea, weight loss and fever. Around two-third of all cases belong to this subtype and they usually occur after two months of treatment. Radiologically, patient may present with pulmonary fibrosis, organizing pneumonia, bronchiolitis obliterans organizing pneumonia, or even solitary lung mass. One increasingly recognized subtype is ARDS like picture following use of rapid intravenous infusion of amiodarone2.

Pathology
The pathological findings are highly variable. Histological finding include lipoid pneumonia, diffuse alveolar damage, vaculoated histioctyes and lymphocytes infiltration. The presence of lamellar body in desquamated macrophages is very helpful in confirming amiodarone exposure.

Risk Factors
Drug dosage of greater than 400mg daily, duration of therapy exceeding two months, increasing patient age, pre-existing lung disease, thoracic or nonthoracic surgery and pulmonary angiography are found to be associated with increased risk of APT.

Diagnosis
Radiology: CXR may showed infiltrative lesion, interstitial pattern, consolidation, mass, or simple atelectasis. The change could be unilateral or bilateral, usually peripheral with a lower zone preference. CT may reveal increased attenuation in liver and lung which support a history of amiodarone exposure. Serial lung function tests like OLCO could not predict the development of amiodarone pulmonary injury. On the other hand a drop in OLCO by 15% in comparison with baseline was found to be very sensitive for amiodarone pulmonary toxicity. A nonnal or slightly decreased OLCO should alert physicians to look for other possible diagnosis. Although various findings like increased neutrophils and T-cell count in BAL were obtained from patients suffering from APT, none of them were specific for this condition and were of poor diagnostic value4. The finding of foamy macrophage could be helpful. However they could be found in APT-free patient with a history of amiodarone exposure.

Treatment
Amiodarone should be stopped once APT is recognized. For life threatening arrhythmia, other anti-arrhythmic or implanted defibrillator should be considered. Under extreme circumstance, options like simultaneous administration of steroid and amiodarone may be considered. The definite rate of response to corticosteroid is not known although there are many favorable case studies. Due to the very long half-life of amiodarone, steroid should be administered for at least six months.

References

  1. Roca J, Heras M, Rodriguez-Robisin R, Magrina J, Xauber A, Sanz G. Pulmonary complications after long term amiodarone treatment. Chest 1992; 47:372-76.
  2. Donaldson L, Grant IS, Naysmith MR, Thomas JS. Acute amiodarone-induced lung toxicity. Intensive Care Med 1998;24: 626-630.
  3. Bolt MW, Card JW, Raxz WJ, Brien JF, Massey TE. Disruption of mitochondrial function and cellular ATP levels by amiodarone and N-desethylamiodarone in initiation of amiodarone-induced pulmonary cytotoxicity. J Pharmacology and Experimental Therapeutics 2001; 298: 1280-1289
  4. Jill A, Ghar, Farris J, Patricia A, Dettenmeier CW, Bedrossian SM, Tricomi R, Gergory E. Bronchoalveolar lavage cell count and differential are not reliable indicators of amiodarone-inducedpneumonitis. Chest 1992; 102:999-1004.
This site is registered on wpml.org as a development site. Switch to a production site key to remove this banner.