Skip to content

Menu

← Back

Dr Flora Miu, Dr MTCheung, Department of Medicine, Pamela Youde.Nethersole Eastern Hospital

Case Report

A 65-year old gentleman with appendiectomy in 1971 and duodenal ulcer in 1996, and history of incidental finding of old tuberculosis calcification in CXR 45 years ago initially presented to a private respiratory physician in mid-August, 2001 for 6 week history of on-off right sided chest pain with cough and shortness of breath. He got an episode of similar pain over his left chest 1 year ago but he had not sought any medical advice.

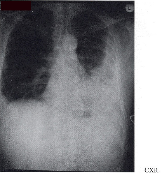
He was a chinese medicine trader requiring frequent travel between Hong Kong and China. His last flight travel was in early August, 2001 to Hainan Island. CXR showed bilateral pleural effusion with a left lung mass and he was admitted to Hong Kong Sanatorium and Hospital (HKSH) for further investigation.

Blood test in HKSH including complete blood picture, renal and liver function test were normal. The only abnormality was a mildly prolong APTT up to 47.6. Left pleural tapping showed exudative effusion with lymphocyte predominant. Pleural fluid showed inflammatory changes with scanty atypical cells and pleural biopsy reviewed non-specific chronic inflammation.
Software: Microsoft Office

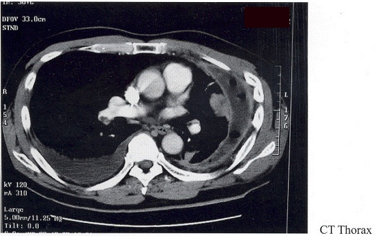
CT thorax in HKSH showed large loculated left pleural effuion with thickened pleura, trace right pleural effusion, a mass in lingual lobe, decrease size of left chest and a filling defect in right pulmonary artery compatible with right pulmonary embolism. He was put on low molecular weight heparin (LMWH) then. CT guided lung biopsy showed organizing pneumonia with no malignancy. The left lung failed to expand despite pleural fluid drainage afterwards. Screening for hypercoagulability including antithrombin III, protein C, protein S, lupus anticoagulant and phospholipid antibody were all negative. He was discharge home on 30th August, 2001 with LMWH.

He presented with palpitation and increasing breathlessness again in mid-September. Holter was normal. Echocardiogram on 25th September showed pericardial effusion and LMWH was stopped. He was subsequently referred to our hospital for further management.

Echocardiogram repeated on the day of arrival to our hospital showed normal size right and left ventricule with normal systolic function, no feature of acute right heart strain and a small rim of pericardial effusion. CT
thorax repeated on 28thSeptember showed similar finding as previous CT thorax except no evidence of embolism in the main pulmonary arteries. LMWH was restarted. Surgeon was consulted and thoracoscopic lung biopsy was performed on 9thOctober. Intraoperatively, very thickened and fibrotic pleura present throughout the whole left chest with encasement and collapse of the left lung. Decortication was not performed since it was considered very difficult due to chronicity and amount of fibrosis, as well as the possibility of malignant disease.

Plerual histology showed groups of large lymphoma cells embedded within the dense hyalinized tissue and fibrin. The cells are immunoreactive for B-cell marker. In-situ hybridization showed positive nuclear staining signal for EBV encoded RNA (EBER +ve) and human herpesvirus type 8 (HHV-8). The features were compatible with pyothorax-associated diffuse large B cell lymphoma. Our pathologist had discussed with pathologist Dr John Chan of Queen Elizabeth Hospital and Dr Chan had kindly consulted Professor Aozasa from Japan who was the pathologist to report such entity. They all agreed on this diagnosis. Further staging with bone marrow revealed no evidence of lymphoma involvement and gallium scan showed no uptake. He was transferred to Queen Mary Hospital on 3rdNovember, 2001 because of patient’s choice. He underwent chemotherapy from November, 2001 to April, 2002 and now being followed up by Professor Liang.

Discussion
Pyothorax associated lymphoma was first reported by Japanese in 1987. Iuchi et al reported 3 out of 134 patients developed pleural lymphoma with history of chronic pyothorax at a chest hospital in Osaka from 1971 to 19851.Aozasa thus carried out a nation-wide study in Japan during 1987 to 1988 and 37 patients with pleural lymphoma were studied 2. The age at diagnosis was between 46 to 81 years old (mean 63) with male to female ratio of 5.2 to 1. All patients had greater than 20 years history of chronic pyothorax as a result of artifical pneumothorax for either pulmonary tuberculosis or tuberculous pleuritis. The commonest presenting symptoms were productive cough, dyspnoea and chest pain. Thirty-five percent of lung masses were reviewed by CXR while 77% by CT. Histologically, majority (85%) were B-cell type. From these finding, pyothorax-associated lymphoma (PAL) was proposed. Obsawa later detected EBV genome in over 80% of PALpatients 3.

Other than the reported cases from Japan, only a few cases reported elsewhere including Italy, France, Taiwan and Hong Kong. The first case in Hong Kong was reported by Dr Lee and Dr Yew of Grantham Hospital 4. The different geographical incidence may be related to the difference in the incidence of tuberculosis, the more widely performed artificial pneumothorax in Japan than in Western countries and the undiagnosed or misdiagnosed PAL in the past.

The pathological role of Epstein-Barr virus (EBV) is still unclear, as EBV is associated with several other tumor like Burkitt’s lymphoma and nasopharyngeal carcinoma. With EBV infection, nonstructural genes (latent infection genes) such as EBV nuclear antigen 2 (EBNA-2) and latent membrane protein (LMP) were expressed. They had an important role in the immortalization of the B-cells with the establishment oflymphoblastoid cell line (LCL). The production of cytokines in chronic inflammation and geneticabnormalitiesmayfurtherpromotelymphomagenesis5.

Interleukin-6, which was initially purified from the culture supernatant of T cells obtained from pleural effusion of tuberculous pleuritis patients, was found to promote the growth of PAL cell lines in vitro 6. Mutation in p53 tumor suppressor gene was noted in over 70% of PAL patients 5. On the other hand, PAL cells evaded immune mechanism by producing immunosuppressive factors like interleukin-IO and transforming growth fa.ctor-~together with mutation in HLA epitopes for EBV latent antigen causing deficient anti-EBV cytotoxic T-Iymphocyteresponses 7.

HHV-8 infection was associated with Primary effusion Lymphoma (PEL) which was occurring predominant, but not exclusively in human immunodeficiency virus infected individuals. Different from PAL, PEL presented as lymphomatous effusion without a contiguous tumor mass. Morphologically they have similarities with B-cell immunoblastic and anaplastic large cell lymphoma. Phenotypically they frequently failed to express the most common B-cell-associated antigens 8.

There was no prospective study on the treatment of PALbut relatively good response to CHOP-like regimen had been reported. The importance of local control by radiotherapy was addressed 9. Surgery with pleuropneumonectomy with 5-year survival of 85.7% had been reported 9 but it could not apply to all PAL patients who were eldely individuals with poor pulmonary function due to previous old tuberculosis. The prognosis remained poor. Iuchi et al reported 27 of 32 patients who received radiotherapy or chemotherapy died and the median survival was only 8 months with actuarial2-year survival rate between 32% to 48%.

References

  1. luchi K, Ichimiya A, Akashi A, et al. Non-Hodgkin’s lymphoma of the pleural cavity developing from long-standing pyothorax. Cancer 1987; 60:1771-1775.
  2. Aozasa K, Ohsawa M, Kanno H. Pyothorax-associated lymphoma:A distinctive type of lymphoma strongly associated with Epstein-Barr Virus. Adv Anat Pathol1997; 4:58-63.
  3. Ohsawa M, Tomita Y, Kanno H, et al. Role of Epstein-Barr virus in pleurallymphomagenesis. Mod Pathol1995; 8:848-853.
  4. Lee J, Yew WW, Wong PC, Kin HE Non-Hodgkin’s pleural lymphoma in long standing tuberculous pyothorax mimicking suppuration. Inti Joumel of Infectious diseases 2001; 5(3):167-169.
  5. Kanno H, Aoxasa K. Mechanism for the development of pyothorax-associated lymphoma. Pathology International 1998; 48(9):653-644.
  6. Kanno H, Yasunage Y, luchi K, et al. Interleukin-6-mediated growth enhancement of cell lines derived from pyothorax-assoicated lymphoma. Lab Invest 1996; 75:167-173.
  7. Kanno H, Nakatsuka S, Yamauchi S, Ohsawa M, Hashimoto M, Aozasa K. Mutation in CTL epitopes of EBNA4 in pyothorax-associated lymphoma (PAL) and HLA-A alleles of PALpatients. Lab Invest 1998; 78(1):133.
  8. Said JW Body cavity-based (Primary effusion) lymphoma: a new lymphoma subtype associated with Kaposi’s sarcoma Herpesviurs (human herpesvirus 8). Adv Anat Pathol1996; 3:254-258.
  9. Aruga T, Itami J, Nakajima K, Shibata K, Nojo T, Aruga M, et al. Treatment ofpyothorax-assoicated lymphoma. Radiother Onco12000; 56:59-63
This site is registered on wpml.org as a development site. Switch to a production site key to remove this banner.