Skip to content

Menu

← Back

文章刊於東周刊

無煙媽媽的惡耗

何女士與一般的在職媽媽無異,每天早上看著女兒出門上學後便上班,下班後買菜回家做飯,奉行少油少鹽無味精,好讓自己和家人都有較健康的飲食。約一年前,她突然發現自己咳嗽多了,更帶點血絲,氣喘得很,便向公司請了半天假去求診。醫生檢查過後,為何女士照了張肺片,竟發現右邊肺有肺積水的情況。醫生告之可能是因為肺癌引致的惡性肺積水,需要進一步檢查以極認。何女士聽後滿心疑惑,心想自己從不吸煙,飲食尚算健康,不可能患上肺癌,便斷然拒絕進一步的檢查。

非吸煙者都可患肺癌

雖然吸煙依然是肺癌的主要成因,但是非吸煙人士患上肺癌也並非罕見。香港胸肺學會名譽秘書古惠珊醫生指出,這類患者多數較年輕;在亞洲女性肺癌患者當中,非吸煙人士更佔了六至八成。在這類非吸煙患者中,致癌原因比較難以查找,吸入二手煙、石綿和沙塵、煎炸含高脂肪肉類時產生的油煙等,相信亦是肺癌的成因之一。「由於缺乏明顯的危險因素,肺癌初期病徵又不明顯,很多患者都會很遲才求醫,並已出現併發症。就像何女士的個案一樣,直到一整邊肺都積了水造成嚴重咳嗽,才找醫生診治。」 除了氣促和咳血外,肺癌的病徵還包括了胸口不適或疼痛,有部份病人會出現消瘦的狀況,但這些病徵都很容易被病人忽略。其他較明顯或嚴重的病徵還包括了發燒、因神經線受腫瘤壓迫而出現手痺或眼簾下垂、大靜脈受壓引致頸面腫脹,以及因骨轉移或伴癌綜合症而出現骨裂等症狀。「像何女士般已出現肺積水般,多代表腫瘤已刺激周邊組織引致發炎和血管擴張,病情多屬晚期。」古醫生說。

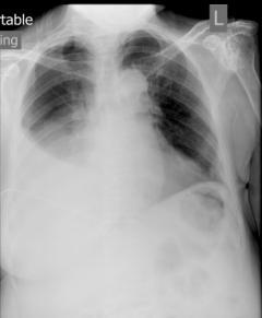
Caption :肺部右下側呈一片白濛濛,是典型肺積水的情況。
Caption :古惠珊醫生表示亞洲女性肺癌患者當中,非吸煙人士更佔了六至八成。

面對現實接受檢查 丈夫長伴抗癌路

何女士雖然拒絕了接受進一步的檢查,但仍接受醫生建議,留院接受初步的治療和抽肺水的檢查。在何女士住院的首個晚上,她的丈夫陪伴在側。她的丈夫雖然也接受不了太太可能患癌的事實,但認為若拒絕接受進一步檢查,則始終不能早日找出病因。最後何女士被說丈夫說服,於第二天表示願意接受檢查,但由檢查到化驗報告出爐,也大概等了一兩個星期,這段時間可時十分煎熬。

抽取組織檢驗定治療方案

美國胸肺學會香港及澳門分會會長陳偉文醫生強調,抽取組織化驗是整個肺癌治療的重要關鍵,既用作肯定患者所患的是否肺癌,更需要找出組織的類別及生物標記,以協助醫生制定治療方案,例如晚期肺癌患者的腫瘤有否帶有EGFR基因突變,會影響醫生處方哪些標靶藥物或化療。
陳醫生以何女士的個案為例,指出抽取肺積水除了紓緩病徵外,也可找肺積水中找出癌細胞進行檢驗,排除其他引致肺積水的可能性,如肺癆或肺炎等。然而傳統針筒抽取肺水的做法,確診肺癌的成功率只有五至六成;如果檢查後仍然找不到答案,醫生便會從體外引進一支半軟性的內窺鏡進入胸腔,直接從不正常的地方抽取肺膜作化驗,過程約需一小時。陳醫生還表示,為增加抽肺水和抽取肺膜組織的準確度,及減低對附近器官的傷害,醫生有時會在超聲波引導下進行相關的程序。不過倘若患者沒出現肺積水的情況,或不正常組織並非接近肺部邊緣位置,便可能需要改用支氣管鏡甚至手術抽取組織。除此之外,患者還需要接受其他檢查,讓醫生更清楚病情來制定更合適的治療方案,常見的檢查如下:
檢查項目 目的 所需時間
電腦掃描(CT) 提供腫瘤的大小、位置、有否擴散至淋巴或其他不正常組織的資料,是最常用的肺癌造影檢查。 10-15分鐘
磁力共震(MRI) 作用與電腦掃描相近,但較敏銳於偵測腦部、脊柱、胸壁或肺尖的不正常組織。 30分鐘
正電子掃描(PET) 協助醫生診斷肺部的不正常組織是否癌腫,及腫瘤有否擴散至淋巴結及其他器官。但費用較高,且對細小組織不敏感,多用作評估患者是否適合做手術。 3小時

何女士最後被確診患上第四期非小細胞肺癌,電腦掃描顯示腫瘤已擴散至脊骨。得知這個惡耗的何女士有感被判死刑,頃刻淚如泉湧,接續下來會如何呢?(下期待續)

Caption :陳偉文醫生指出,使用內科胸腔鏡可直接從不正常的地方抽取肺膜作化驗

(1,542字)

This site is registered on wpml.org as a development site. Switch to a production site key to remove this banner.