甚麼是非結核分枝桿菌?
非結核分枝桿菌(non-tuberculous mycobacterium, NTM) 與肺結核桿菌屬於同一個菌屬, 並有多於190個品種。 非結核分枝桿菌存在於環境中,如泥土、水和灰塵等。患者可從環境中吸入或從傷口接觸到非結核分枝桿菌等途徑感染,一般情況下不會人傳人。
非結核分枝桿菌可導致疾病包括:
- 肺部感染
- 淋巴線炎
- 皮膚及皮下軟組織感染
- 瀰漫性疾病:通常發生在免疫力不足的患者
在香港,最常見導致肺部疾病的非結核分枝桿菌品種包括
- 鳥型分枝桿菌(Mycobacterium Avium Complex)
- 堪薩斯分枝捍菌 ( Mycobacterium Kansasii)
- 膿腫分枝桿菌( Mycobacterium Abscessus)
患有慢性肺部疾病如慢性阻塞性肺病、肺氣管擴張和免疫力不足的患者較易受到非結核分枝桿菌感染。

診斷
診斷非結核分枝桿菌肺部疾病包括臨床徵狀,細菌培養和X光肺片或電腦掃描檢查
- 臨床徵狀
- 患者常見的病徵包括長期咳嗽,痰多,疲倦及體重減輕等。
- 細菌培養
- 醫生會要求病人提供2或3個痰液樣本作塗片和培養細菌。有需要時,醫生會建議病人作支氣管鏡抽取樣本化驗。
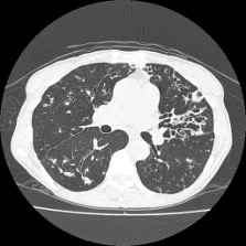
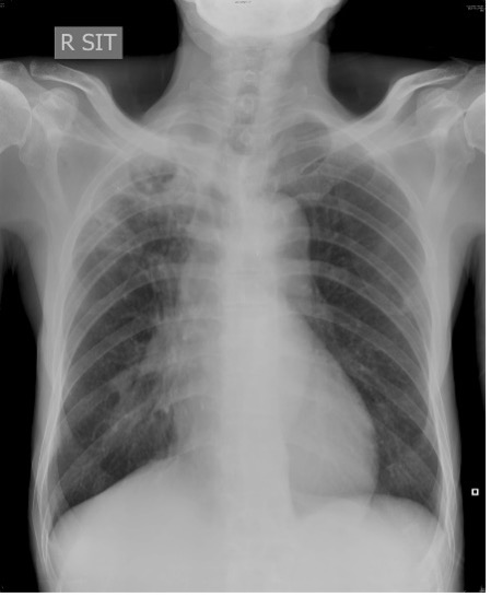
- X光肺片或電腦掃描檢查
- 常見肺部放射線學的變化
- 結節支氣管擴張
- 常見肺部放射線學的變化


治療
通常需同時使用3至4種抗生素,一般療程需要一年或以上的時間。不同的非結核分枝桿菌有不同的藥敏反應。抗藥性較少的非結核分枝桿菌,治療成功率相對較高。治療抗藥性較高的細菌如膿腫分枝桿菌,醫生會利用口服和注射抗生素組合,以増加痊愈率。
常見治療非結核分枝桿菌的藥物和可能出現的藥物反應:
| 藥物名稱 | 服用方法 | 副作用 |
| 阿奇霉素Azithromycin / 克拉霉素Clarithromycin | 口服 | 噁心、嘔吐、肚瀉心律不整肝臟受損, 徵狀包括持續噁心、嘔吐、不適或黃疸(皮膚和眼白發黃)耳鳴/聽力受損 |
| 利福平Rifampicin | 口服 | 食慾不振、噁心、嘔吐肝臟受損, 徵狀包括持續噁心、嘔吐、不適或黃疸(皮膚和眼白發黃)類似感冒病徵瘀傷及皮下出血若糞便、淚水、尿液、鼻水或其他體液呈橙紅色,均屬正常 |
| 乙胺丁醇Ethambutol | 口服 | 視力下降、影像變色噁心、嘔吐 |
| 阿米卡星Amikacin | 靜脈注射肌肉注射霧化 | 耳鳴、聽力下降或嚴重暈眩腎功能受損, 例如血尿,排尿次数减少或尿量减少霧化吸入式阿米卡星:支氣管痙攣、聲沙、喉痛 |
| 所有藥物都有可能出現過敏反應如搔癢、蕁麻疹、臉部腫脹和呼吸困難 | ||
除抗生素外,醫生也會建議一些患者作局部肺部切除手術以増加治療的成功率。